产品中心

p57 rabbit pAb
一键复制产品信息
ES4072
规格: 价格:
50µL ¥1280.00
100µL ¥1980.00

Overview

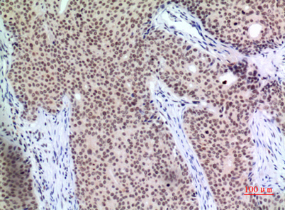
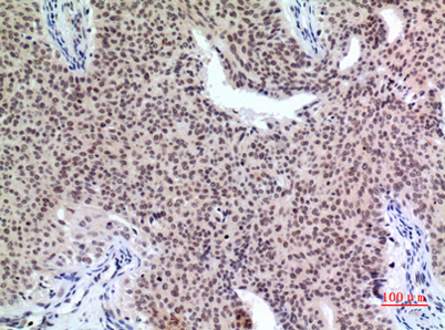
Product name: p57 rabbit pAb
Reactivity: Human;Mouse;Rat
Alternative Names: CDKN1C; KIP2; Cyclin-dependent kinase inhibitor 1C; Cyclin-dependent kinase inhibitor p57; p57Kip2
Source: Rabbit
Dilutions: Western Blot: 1/500 - 1/2000. IHC-p: 1/100-1/300. ELISA: 1/20000. Not yet tested in other applications.
Immunogen: The antiserum was produced against synthesized peptide derived from human p57Kip2 around the non-acetylation site of Lys278. AA range:241-290
Storage: -20°C/1 year
Clonality: Polyclonal
Isotype: IgG
Concentration: 1 mg/ml
Observed Band: 32kD
GeneID: 1028
Human Swiss-Prot No: P49918
Cellular localization: Nucleus .
Background: This gene is imprinted, with preferential expression of the maternal allele. The encoded protein is a tight-binding, strong inhibitor of several G1 cyclin/Cdk complexes and a negative regulator of cell proliferation. Mutations in this gene are implicated in sporadic cancers and Beckwith-Wiedemann syndorome, suggesting that this gene is a tumor suppressor candidate. Three transcript variants encoding two different isoforms have been found for this gene. [provided by RefSeq, Oct 2010],
关闭

在线咨询

Online consultation

  • 在线咨询
  • 技术支持

关注微信公众号

微信扫一扫立即咨询

微信扫一扫立即咨询

关闭