产品中心

KLF13 rabbit pAb
一键复制产品信息
ES4060
规格: 价格:
50µL ¥1280.00
100µL ¥1980.00

Overview

Product name: KLF13 rabbit pAb
Reactivity: Human;Mouse
Alternative Names: KLF13; BTEB3; NSLP1; Krueppel-like factor 13; Basic transcription element-binding protein 3; BTE-binding protein 3; Novel Sp1-like zinc finger transcription factor 1;RANTES factor of late activated T-lymphocytes 1; RFLAT-1; Transcription factor BTEB3; Transcription factor NSLP1
Source: Rabbit
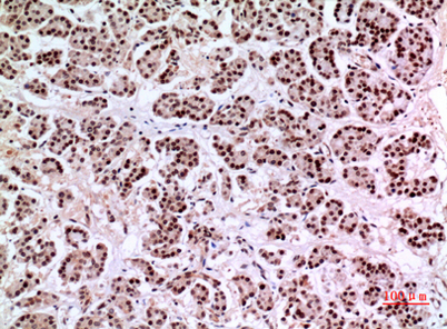
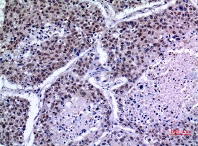
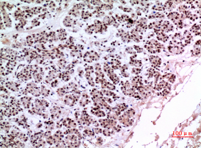
Dilutions: Western Blot: 1/500 - 1/2000. IHC-p: 1/100-1/300. ELISA: 1/20000. Not yet tested in other applications.
Immunogen: The antiserum was produced against synthesized peptide derived from human KLF13 around the non-acetylation site of Lys166. AA range:131-180
Storage: -20°C/1 year
Clonality: Polyclonal
Isotype: IgG
Concentration: 1 mg/ml
Observed Band: 31kD
GeneID: 51621
Human Swiss-Prot No: Q9Y2Y9
Cellular localization: Nucleus.
Background: KLF13 belongs to a family of transcription factors that contain 3 classical zinc finger DNA-binding domains consisting of a zinc atom tetrahedrally coordinated by 2 cysteines and 2 histidines (C2H2 motif). These transcription factors bind to GC-rich sequences and related GT and CACCC boxes (Scohy et al., 2000 [PubMed 11087666]).[supplied by OMIM, Mar 2008],
关闭

在线咨询

Online consultation

  • 在线咨询
  • 技术支持

关注微信公众号

微信扫一扫立即咨询

微信扫一扫立即咨询

关闭