产品中心

GDI-2 rabbit pAb
一键复制产品信息
ES4047
规格: 价格:
50µL ¥1280.00
100µL ¥1980.00

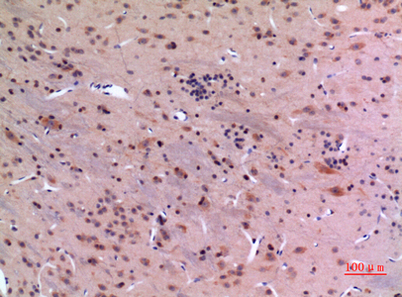
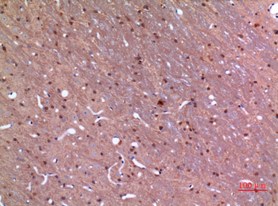
Overview

Product name: GDI-2 rabbit pAb
Reactivity: Human;Mouse;Rat
Alternative Names: GDI2; RABGDIB; Rab GDP dissociation inhibitor beta; Rab GDI beta; Guanosine diphosphate dissociation inhibitor 2; GDI-2
Source: Rabbit
Dilutions: Western Blot: 1/500 - 1/2000. IHC-p: 1/100-1/300. ELISA: 1/20000. Not yet tested in other applications.
Immunogen: Synthesized peptide derived from the C-terminal region of human GDI-2.
Storage: -20°C/1 year
Clonality: Polyclonal
Isotype: IgG
Concentration: 1 mg/ml
Observed Band: 50kD
GeneID: 2665
Human Swiss-Prot No: P50395
Cellular localization: Cytoplasm . Membrane ; Peripheral membrane protein .
Background: GDP dissociation inhibitors are proteins that regulate the GDP-GTP exchange reaction of members of the rab family, small GTP-binding proteins of the ras superfamily, that are involved in vesicular trafficking of molecules between cellular organelles. GDIs slow the rate of dissociation of GDP from rab proteins and release GDP from membrane-bound rabs. GDI2 is ubiquitously expressed. The GDI2 gene contains many repetitive elements indicating that it may be prone to inversion/deletion rearrangements. Alternative splicing results in multiple transcript variants encoding distinct isoforms. [provided by RefSeq, Jul 2008],
关闭

在线咨询

Online consultation

  • 在线咨询
  • 技术支持

关注微信公众号

微信扫一扫立即咨询

微信扫一扫立即咨询

关闭