产品中心

SCCA1/2 rabbit pAb
一键复制产品信息
ES4040
规格: 价格:
50µL ¥1280.00
100µL ¥1980.00

Overview

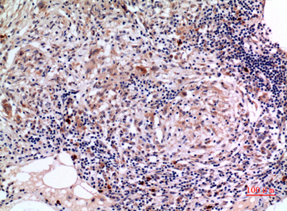
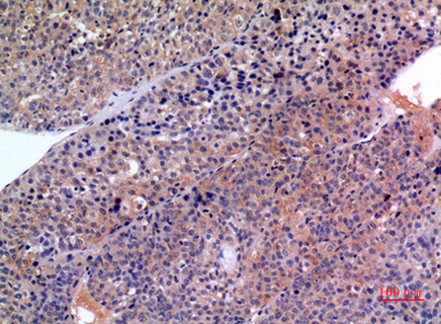
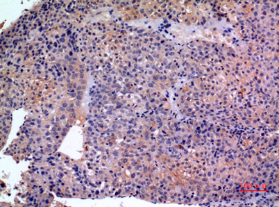
Product name: SCCA1/2 rabbit pAb
Reactivity: Human;Rat;Mouse;
Alternative Names: SERPINB3; SCCA; SCCA1; Serpin B3; Protein T4-A; Squamous cell carcinoma antigen 1; SCCA-1
Source: Rabbit
Dilutions: Western Blot: 1/500 - 1/2000. IHC-p: 1/100-1/300. ELISA: 1/20000. Not yet tested in other applications.
Immunogen: The antiserum was produced against synthesized peptide derived from the Internal region of human SERPINB3/4. AA range:111-160
Storage: -20°C/1 year
Clonality: Polyclonal
Isotype: IgG
Concentration: 1 mg/ml
Observed Band: 45kD
GeneID: 6317
Human Swiss-Prot No: P29508
Cellular localization: Cytoplasm . Seems to also be secreted in plasma by cancerous cells but at a low level.
Background: developmental stage:Its expression is closely related to cellular differentiation in both normal and malignant squamous cells.,function:May act as a protease inhibitor to modulate the host immune response against tumor cells.,similarity:Belongs to the serpin family.,similarity:Belongs to the serpin family. Ov-serpin subfamily.,subcellular location:Seems to also be secreted in plasma by cancerous cells but at a low level.,tissue specificity:Squamous cells. Expressed in some hepatocellular carcinoma (at protein level).,
关闭

在线咨询

Online consultation

  • 在线咨询
  • 技术支持

关注微信公众号

微信扫一扫立即咨询

微信扫一扫立即咨询

关闭