产品中心

CMTM6 rabbit pAb
一键复制产品信息
ES4038
规格: 价格:
50µL ¥1280.00
100µL ¥1980.00

Overview

Product name: CMTM6 rabbit pAb
Reactivity: Human;Rat;Mouse;
Alternative Names: CMTM6; CKLFSF6; CKLF-like MARVEL transmembrane domain-containing protein 6; Chemokine-like factor superfamily member 6
Source: Rabbit
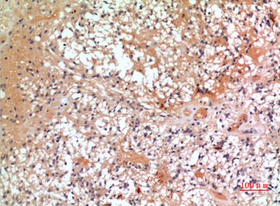
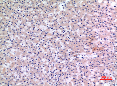
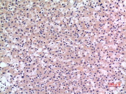
Dilutions: Western Blot: 1/500 - 1/2000. IHC-p: 1/100-1/300. ELISA: 1/20000. Not yet tested in other applications.
Immunogen: The antiserum was produced against synthesized peptide derived from the C-terminal region of human CMTM6. AA range:131-180
Storage: -20°C/1 year
Clonality: Polyclonal
Isotype: IgG
Concentration: 1 mg/ml
Observed Band: 20kD
GeneID: 54918
Human Swiss-Prot No: Q9NX76
Cellular localization: Cell membrane ; Multi-pass membrane protein . Early endosome membrane ; Multi-pass membrane protein . Recycling endosome membrane ; Multi-pass membrane protein . Co-localizes with PD-L1/CD274 in the plasma membrane and in recycling endosomes. .
Background: This gene belongs to the chemokine-like factor gene superfamily, a novel family that is similar to the chemokine and transmembrane 4 superfamilies. This gene is one of several chemokine-like factor genes located in a cluster on chromosome 3. This gene is widely expressed in many tissues, but the exact function of the encoded protein is unknown. [provided by RefSeq, Jul 2008],
关闭

在线咨询

Online consultation

  • 在线咨询
  • 技术支持

关注微信公众号

微信扫一扫立即咨询

微信扫一扫立即咨询

关闭