产品中心

BMP-3A rabbit pAb
一键复制产品信息
ES4033
规格: 价格:
50µL ¥1280.00
100µL ¥1980.00

Overview

Product name: BMP-3A rabbit pAb
Reactivity: Human;Mouse;Rat
Alternative Names: BMP3; BMP3A; Bone morphogenetic protein 3; BMP-3; Bone morphogenetic protein 3A; BMP-3A; Osteogenin
Source: Rabbit
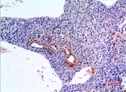
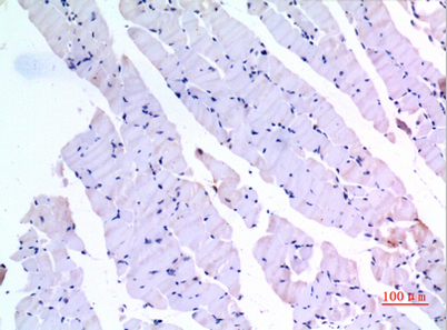
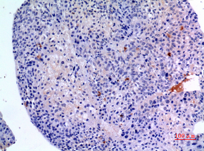
Dilutions: Western Blot: 1/500 - 1/2000. IHC-p: 1/100-1/300. ELISA: 1/20000. Not yet tested in other applications.
Immunogen: The antiserum was produced against synthesized peptide derived from the C-terminal region of human BMP3. AA range:421-470
Storage: -20°C/1 year
Clonality: Polyclonal
Isotype: IgG
Concentration: 1 mg/ml
Observed Band: 53kD
GeneID: 651
Human Swiss-Prot No: P12645
Cellular localization: Secreted.
Background: This gene encodes a secreted ligand of the TGF-beta (transforming growth factor-beta) superfamily of proteins. Ligands of this family bind various TGF-beta receptors leading to recruitment and activation of SMAD family transcription factors that regulate gene expression. The encoded preproprotein is proteolytically processed to generate each subunit of the disulfide-linked homodimer. This protein suppresses osteoblast differentiation, and negatively regulates bone density, by modulating TGF-beta receptor availability to other ligands. [provided by RefSeq, Jul 2016],
关闭

在线咨询

Online consultation

  • 在线咨询
  • 技术支持

关注微信公众号

微信扫一扫立即咨询

微信扫一扫立即咨询

关闭