产品中心

GDF-5 rabbit pAb
一键复制产品信息
ES4032
规格: 价格:
50µL ¥1280.00
100µL ¥1980.00

Overview

Product name: GDF-5 rabbit pAb
Reactivity: Human;Mouse;Rat
Alternative Names: GDF5; CDMP1; Growth/differentiation factor 5; GDF-5; Cartilage-derived morphogenetic protein 1; CDMP-1; Radotermin
Source: Rabbit
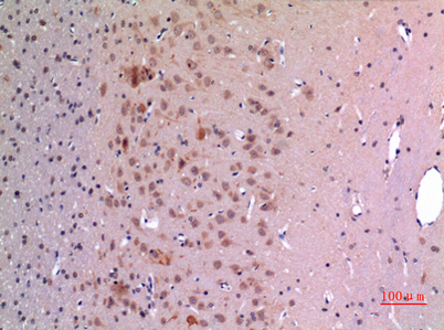
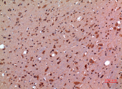
Dilutions: Western Blot: 1/500 - 1/2000. IHC-p: 1/100-1/300. ELISA: 1/20000. Not yet tested in other applications.
Immunogen: The antiserum was produced against synthesized peptide derived from the Internal region of human GDF5. AA range:361-410
Storage: -20°C/1 year
Clonality: Polyclonal
Isotype: IgG
Concentration: 1 mg/ml
Observed Band: 55kD
GeneID: 8200
Human Swiss-Prot No: P43026
Cellular localization: Secreted . Cell membrane .
Background: This gene encodes a secreted ligand of the TGF-beta (transforming growth factor-beta) superfamily of proteins. Ligands of this family bind various TGF-beta receptors leading to recruitment and activation of SMAD family transcription factors that regulate gene expression. The encoded preproprotein is proteolytically processed to generate each subunit of the disulfide-linked homodimer. This protein regulates the development of numerous tissue and cell types, including cartilage, joints, brown fat, teeth, and the growth of neuronal axons and dendrites. Mutations in this gene are associated with acromesomelic dysplasia, brachydactyly, chondrodysplasia, multiple synostoses syndrome, proximal symphalangism, and susceptibility to osteoarthritis. [provided by RefSeq, Aug 2016],
关闭

在线咨询

Online consultation

  • 在线咨询
  • 技术支持

关注微信公众号

微信扫一扫立即咨询

微信扫一扫立即咨询

关闭