产品中心

Inhibin β-E rabbit pAb
一键复制产品信息
ES4030
规格: 价格:
50µL ¥1280.00
100µL ¥1980.00

Overview

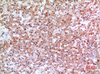
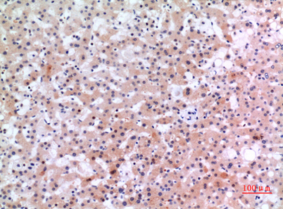
Product name: Inhibin β-E rabbit pAb
Reactivity: Human;Mouse;Rat
Alternative Names: INHBE; Inhibin beta E chain; Activin beta-E chain
Source: Rabbit
Dilutions: Western Blot: 1/500 - 1/2000. IHC-p: 1/100-1/300. ELISA: 1/20000. Not yet tested in other applications.
Immunogen: The antiserum was produced against synthesized peptide derived from the C-terminal region of human INHBE. AA range:301-350
Storage: -20°C/1 year
Clonality: Polyclonal
Isotype: IgG
Concentration: 1 mg/ml
Observed Band: 38kD
GeneID: 83729
Human Swiss-Prot No: P58166
Cellular localization: Secreted .
Background: This gene encodes a member of the TGF-beta (transforming growth factor-beta) superfamily of proteins. The encoded preproprotein is proteolytically processed to generate an inhibin beta subunit. Inhibins have been implicated in regulating numerous cellular processes including cell proliferation, apoptosis, immune response and hormone secretion. This gene may be upregulated under conditions of endoplasmic reticulum stress, and this protein may inhibit cellular proliferation and growth in pancreas and liver. [provided by RefSeq, Sep 2016],
关闭

在线咨询

Online consultation

  • 在线咨询
  • 技术支持

关注微信公众号

微信扫一扫立即咨询

微信扫一扫立即咨询

关闭