产品中心

CDCP1 rabbit pAb
一键复制产品信息
ES4021
规格: 价格:
50µL ¥1280.00
100µL ¥1980.00

Overview

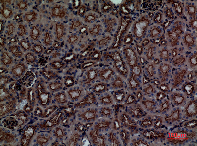
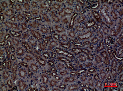
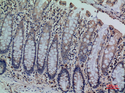
Product name: CDCP1 rabbit pAb
Reactivity: Human;Mouse;Rat
Alternative Names: CDCP1; TRASK; CUB domain-containing protein 1; Membrane glycoprotein gp140; Subtractive immunization M plus HEp3-associated 135 kDa protein; SIMA135; Transmembrane and associated with src kinases; CD318
Source: Rabbit
Dilutions: Western Blot: 1/500 - 1/2000. IHC-p: 1:100-300 ELISA: 1/20000. Not yet tested in other applications.
Immunogen: The antiserum was produced against synthesized peptide derived from the Internal region of human CDCP1. AA range:241-290
Storage: -20°C/1 year
Clonality: Polyclonal
Isotype: IgG
Concentration: 1 mg/ml
Observed Band: 95kD
GeneID: 64866
Human Swiss-Prot No: Q9H5V8
Cellular localization: [Isoform 1]: Cell membrane ; Single-pass membrane protein . Shedding may also lead to a soluble peptide.; [Isoform 3]: Secreted.
Background: This gene encodes a transmembrane protein which contains three extracellular CUB domains and acts as a substrate for Src family kinases. The protein plays a role in the tyrosine phosphorylation-dependent regulation of cellular events that are involved in tumor invasion and metastasis. Alternative splicing results in multiple transcript variants of this gene. [provided by RefSeq, May 2013],
关闭

在线咨询

Online consultation

  • 在线咨询
  • 技术支持

关注微信公众号

微信扫一扫立即咨询

微信扫一扫立即咨询

关闭