产品中心

CD241 rabbit pAb
一键复制产品信息
ES4014
规格: 价格:
50µL ¥1280.00
100µL ¥1980.00

Overview

Product name: CD241 rabbit pAb
Reactivity: Human;Rat;Mouse;
Alternative Names: RHAG; RH50; Ammonium transporter Rh type A; Erythrocyte membrane glycoprotein Rh50; Erythrocyte plasma membrane 50 kDa glycoprotein; Rh50A; Rhesus blood group family type A glycoprotein;Rh family type A glycoprotein; Rh type A glycoprotein; Rhesus blood group-associated ammonia channel; Rhesus blood group-associated glycoprotein; CD241
Source: Rabbit
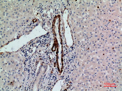
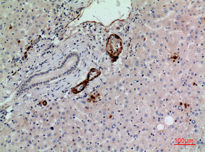
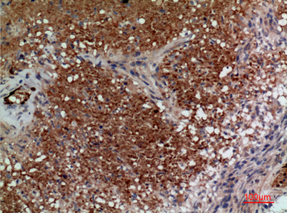
Dilutions: Western Blot: 1/500 - 1/2000. IHC-p: 1:100-300 ELISA: 1/20000. Not yet tested in other applications.
Immunogen: The antiserum was produced against synthesized peptide derived from the N-terminal region of human RHAG. AA range:1-50
Storage: -20°C/1 year
Clonality: Polyclonal
Isotype: IgG
Concentration: 1 mg/ml
Observed Band: 44kD
GeneID: 6005
Human Swiss-Prot No: Q02094
Cellular localization: Membrane ; Multi-pass membrane protein.
Background: The protein encoded by this gene is erythrocyte-specific and is thought to be part of a membrane channel that transports ammonium and carbon dioxide across the blood cell membrane. The encoded protein appears to interact with Rh blood group antigens and Rh30 polypeptides. Defects in this gene are a cause of regulator type Rh-null hemolytic anemia (RHN), or Rh-deficiency syndrome.[provided by RefSeq, Mar 2009],
关闭

在线咨询

Online consultation

  • 在线咨询
  • 技术支持

关注微信公众号

微信扫一扫立即咨询

微信扫一扫立即咨询

关闭