产品中心

CD328 rabbit pAb
一键复制产品信息
ES4011
规格: 价格:
50µL ¥1280.00
100µL ¥1980.00

Overview

Product name: CD328 rabbit pAb
Reactivity: Human;Rat;Mouse;
Alternative Names: SIGLEC7; AIRM1; Sialic acid-binding Ig-like lectin 7; Siglec-7; Adhesion inhibitory receptor molecule 1; AIRM-1; CDw328; D-siglec; QA79 membrane protein; p75; CD328
Source: Rabbit
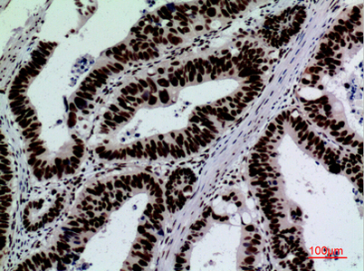
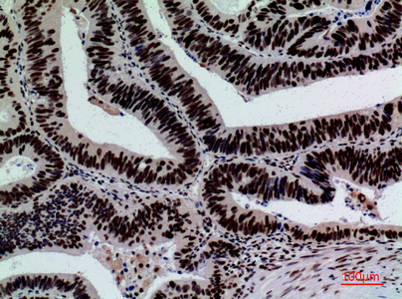
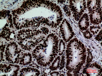
Dilutions: Western Blot: 1/500 - 1/2000. IHC-p: 1:100-300 ELISA: 1/20000. Not yet tested in other applications.
Immunogen: The antiserum was produced against synthesized peptide derived from the Internal region of human SIGLEC7. AA range:51-100
Storage: -20°C/1 year
Clonality: Polyclonal
Isotype: IgG
Concentration: 1 mg/ml
Observed Band: 51kD
GeneID: 27036
Human Swiss-Prot No: Q9Y286
Cellular localization: Membrane; Single-pass type I membrane protein.
Background: domain:Contains 1 copy of a cytoplasmic motif that is referred to as the immunoreceptor tyrosine-based inhibitor motif (ITIM). This motif is involved in modulation of cellular responses. The phosphorylated ITIM motif can bind the SH2 domain of several SH2-containing phosphatases.,function:Putative adhesion molecule that mediates sialic-acid dependent binding to cells. Preferentially binds to alpha-2,3- and alpha-2,6-linked sialic acid. Also binds disialogangliosides (disialogalactosyl globoside, disialyl lactotetraosylceramide and disialyl GalNAc lactotetraoslylceramide). The sialic acid recognition site may be masked by cis interactions with sialic acids on the same cell surface. In the immune response, may act as an inhibitory receptor upon ligand induced tyrosine phosphorylation by recruiting cytoplasmic phosphatase(s) via their SH2 domain(s) that block signal transduction through dephosphorylation of signaling molecules. Mediates inhibition of natural killer cells cytotoxicity. May play a role in hemopoiesis. Inhibits differentiation of CD34+ cell precursors towards myelomonocytic cell lineage and proliferation of leukemic myeloid cells (in vitro).,online information:Siglec-7,PTM:Tyrosine phosphorylated.,similarity:Belongs to the immunoglobulin superfamily. SIGLEC (sialic acid binding Ig-like lectin) family.,similarity:Contains 1 Ig-like V-type (immunoglobulin-like) domain.,similarity:Contains 2 Ig-like C2-type (immunoglobulin-like) domains.,subunit:Interacts with PTPN6/SHP-1 upon phosphorylation.,tissue specificity:Predominantly expressed by resting and activated natural killer cells and at lower levels by granulocytes and monocytes. High expression found in placenta, liver, lung, spleen, and peripheral blood leukocytes.,
关闭

在线咨询

Online consultation

  • 在线咨询
  • 技术支持

关注微信公众号

微信扫一扫立即咨询

微信扫一扫立即咨询

关闭