产品中心

CD85g rabbit pAb
一键复制产品信息
ES3988
规格: 价格:
50µL ¥1280.00
100µL ¥1980.00

Overview

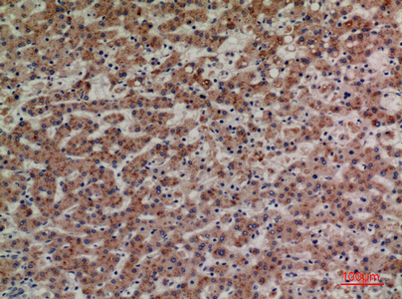
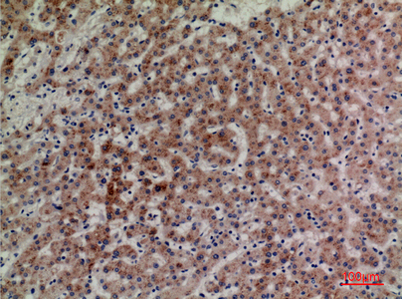
Product name: CD85g rabbit pAb
Reactivity: Human;Rat;Mouse;
Alternative Names: LILRA4; ILT7; Leukocyte immunoglobulin-like receptor subfamily A member 4; CD85 antigen-like family member G; Immunoglobulin-like transcript 7; ILT-7; CD85g
Source: Rabbit
Dilutions: Western Blot: 1/500 - 1/2000. IHC-p: 1:100-300 ELISA: 1/20000. Not yet tested in other applications.
Immunogen: The antiserum was produced against synthesized peptide derived from the Internal region of human LILRA4. AA range:391-440
Storage: -20°C/1 year
Clonality: Polyclonal
Isotype: IgG
Concentration: 1 mg/ml
Observed Band: 55kD
GeneID: 23547
Human Swiss-Prot No: P59901
Cellular localization: Cell membrane ; Single-pass type I membrane protein .
Background: This gene encodes an immunoglobulin-like cell surface protein that is expressed predominantly on plasmacytoid dendritic cells (PDCs) and modulates the function of these cells in the immune response. Expression of this gene is downregulated by interleukin 3 (IL3). This gene is one of a cluster of highly related genes located at chromosomal region 19q13.4. [provided by RefSeq, Jan 2015],
关闭

在线咨询

Online consultation

  • 在线咨询
  • 技术支持

关注微信公众号

微信扫一扫立即咨询

微信扫一扫立即咨询

关闭