产品中心

PEPCK-C rabbit pAb
一键复制产品信息
ES3966
规格: 价格:
50µL ¥1280.00
100µL ¥1980.00

Overview

Product name: PEPCK-C rabbit pAb
Reactivity: Human;Mouse;Rat
Alternative Names: PCK1; PEPCK1; Phosphoenolpyruvate carboxykinase, cytosolic [GTP]; PEPCK-C; Phosphoenolpyruvate carboxylase
Source: Rabbit
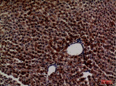
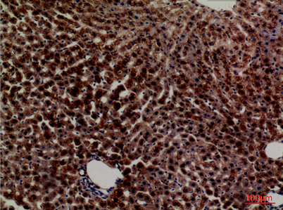
Dilutions: Western Blot: 1/500 - 1/2000. IHC-p: 1:100-300 ELISA: 1/20000. Not yet tested in other applications.
Immunogen: The antiserum was produced against synthesized peptide derived from the Internal region of human PCK1. AA range:491-540
Storage: -20°C/1 year
Clonality: Polyclonal
Isotype: IgG
Concentration: 1 mg/ml
Observed Band: 65kD
GeneID: 5105
Human Swiss-Prot No: P35558
Cellular localization: Cytoplasm, cytosol . Endoplasmic reticulum . Phosphorylation at Ser-90 promotes translocation to the endoplasmic reticulum. .
Background: This gene is a main control point for the regulation of gluconeogenesis. The cytosolic enzyme encoded by this gene, along with GTP, catalyzes the formation of phosphoenolpyruvate from oxaloacetate, with the release of carbon dioxide and GDP. The expression of this gene can be regulated by insulin, glucocorticoids, glucagon, cAMP, and diet. Defects in this gene are a cause of cytosolic phosphoenolpyruvate carboxykinase deficiency. A mitochondrial isozyme of the encoded protein also has been characterized. [provided by RefSeq, Jul 2008],
关闭

在线咨询

Online consultation

  • 在线咨询
  • 技术支持

关注微信公众号

微信扫一扫立即咨询

微信扫一扫立即咨询

关闭