产品中心

HEXA rabbit pAb
一键复制产品信息
ES3963
规格: 价格:
50µL ¥1280.00
100µL ¥1980.00

Overview

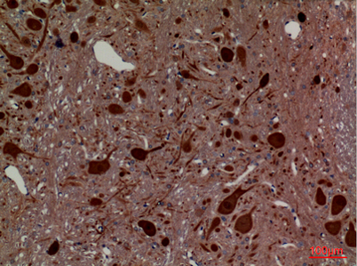
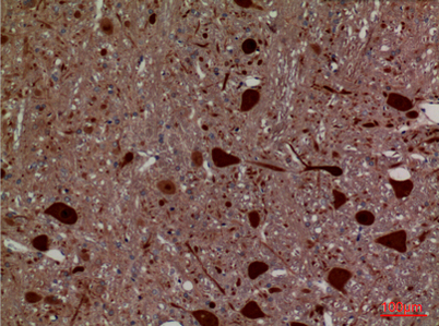
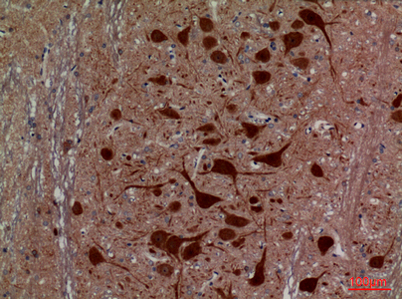
Product name: HEXA rabbit pAb
Reactivity: Human;Mouse;Rat
Alternative Names: HEXA; Beta-hexosaminidase subunit alpha; Beta-N-acetylhexosaminidase subunit alpha; Hexosaminidase subunit A; N-acetyl-beta-glucosaminidase subunit alpha
Source: Rabbit
Dilutions: Western Blot: 1/500 - 1/2000. IHC-p: 1:100-300 ELISA: 1/20000. Not yet tested in other applications.
Immunogen: Synthesized peptide derived from HEXA . at AA range: 121-170
Storage: -20°C/1 year
Clonality: Polyclonal
Isotype: IgG
Concentration: 1 mg/ml
Observed Band: 60kD
GeneID: 3073
Human Swiss-Prot No: P06865
Cellular localization: Lysosome.
Background: This gene encodes a member of the glycosyl hydrolase 20 family of proteins. The encoded preproprotein is proteolytically processed to generate the alpha subunit of the lysosomal enzyme beta-hexosaminidase. This enzyme, together with the cofactor GM2 activator protein, catalyzes the degradation of the ganglioside GM2, and other molecules containing terminal N-acetyl hexosamines. Mutations in this gene lead to an accumulation of GM2 ganglioside in neurons, the underlying cause of neurodegenerative disorders termed the GM2 gangliosidoses, including Tay-Sachs disease (GM2-gangliosidosis type I). Alternative splicing results in multiple transcript variants, at least one of which encodes a preproprotein that is proteolytically processed. [provided by RefSeq, Jan 2016],
关闭

在线咨询

Online consultation

  • 在线咨询
  • 技术支持

关注微信公众号

微信扫一扫立即咨询

微信扫一扫立即咨询

关闭