产品中心

Layilin rabbit pAb
一键复制产品信息
ES3952
规格: 价格:
50µL ¥1280.00
100µL ¥1980.00

Overview

Product name: Layilin rabbit pAb
Reactivity: Human;Mouse;Rat
Alternative Names: LAYN; Layilin
Source: Rabbit
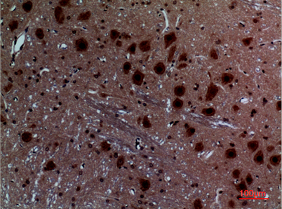
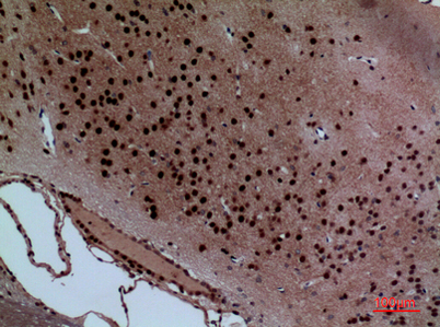
Dilutions: Western Blot: 1/500 - 1/2000. IHC-p: 1:100-300 ELISA: 1/20000. Not yet tested in other applications.
Immunogen: The antiserum was produced against synthesized peptide derived from the Internal region of human LAYN. AA range:71-120
Storage: -20°C/1 year
Clonality: Polyclonal
Isotype: IgG
Concentration: 1 mg/ml
Observed Band: 43kD
GeneID: 143903
Human Swiss-Prot No: Q6UX15
Cellular localization: Membrane ; Single-pass type I membrane protein . Colocalizes with TLN1 at the membrane ruffles. .
Background: domain:The C-terminal domain interacts with the N-terminal domain of RDX.,function:Receptor for hyaluronate.,similarity:Contains 1 C-type lectin domain.,subcellular location:Colocalizes with TLN1 at the membrane ruffles.,subunit:Interacts with NF2, RDX and TLN1.,
关闭

在线咨询

Online consultation

  • 在线咨询
  • 技术支持

关注微信公众号

微信扫一扫立即咨询

微信扫一扫立即咨询

关闭