产品中心

Protein C rabbit pAb
一键复制产品信息
ES3951
规格: 价格:
50µL ¥1280.00
100µL ¥1980.00

Overview

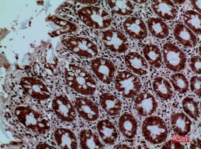
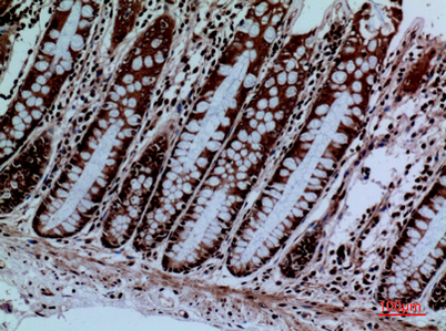
Product name: Protein C rabbit pAb
Reactivity: Human;Rat;Mouse;
Alternative Names: PROC; Vitamin K-dependent protein C; Anticoagulant protein C; Autoprothrombin IIA; Blood coagulation factor XIV
Source: Rabbit
Dilutions: Western Blot: 1/500 - 1/2000. IHC-p: 1:100-300 ELISA: 1/20000. Not yet tested in other applications.
Immunogen: The antiserum was produced against synthesized peptide derived from the Internal region of human PROC. AA range:181-230
Storage: -20°C/1 year
Clonality: Polyclonal
Isotype: IgG
Concentration: 1 mg/ml
Observed Band: 52kD
GeneID: 5624
Human Swiss-Prot No: P04070
Cellular localization: Secreted . Golgi apparatus . Endoplasmic reticulum .
Background: This gene encodes a vitamin K-dependent plasma glycoprotein. The encoded protein is cleaved to its activated form by the thrombin-thrombomodulin complex. This activated form contains a serine protease domain and functions in degradation of the activated forms of coagulation factors V and VIII. Mutations in this gene have been associated with thrombophilia due to protein C deficiency, neonatal purpura fulminans, and recurrent venous thrombosis.[provided by RefSeq, Dec 2009],
关闭

在线咨询

Online consultation

  • 在线咨询
  • 技术支持

关注微信公众号

微信扫一扫立即咨询

微信扫一扫立即咨询

关闭