产品中心

ERp57 rabbit pAb
一键复制产品信息
ES3950
规格: 价格:
50µL ¥1280.00
100µL ¥1980.00

Overview

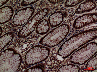
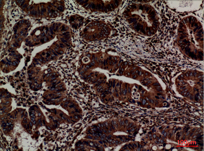
Product name: ERp57 rabbit pAb
Reactivity: Human;Mouse;Rat
Alternative Names: PDIA3; ERP57; ERP60; GRP58; Protein disulfide-isomerase A3; 58 kDa glucose-regulated protein; 58 kDa microsomal protein; p58; Disulfide isomerase ER-60;Endoplasmic reticulum resident protein 57; ER protein 57; ERp57; Endoplasmic reticulum resident protein 60; ER protein 60; ERp60
Source: Rabbit
Dilutions: Western Blot: 1/500 - 1/2000. IHC-p: 1:100-300 ELISA: 1/20000. Not yet tested in other applications.
Immunogen: The antiserum was produced against synthesized peptide derived from the Internal region of human PDIA3. AA range:111-160
Storage: -20°C/1 year
Clonality: Polyclonal
Isotype: IgG
Concentration: 1 mg/ml
Observed Band: 55kD
GeneID: 2923
Human Swiss-Prot No: P30101
Cellular localization: Endoplasmic reticulum . Endoplasmic reticulum lumen . Melanosome . Identified by mass spectrometry in melanosome fractions from stage I to stage IV (PubMed:12643545). .
Background: This gene encodes a protein of the endoplasmic reticulum that interacts with lectin chaperones calreticulin and calnexin to modulate folding of newly synthesized glycoproteins. The protein was once thought to be a phospholipase; however, it has been demonstrated that the protein actually has protein disulfide isomerase activity. It is thought that complexes of lectins and this protein mediate protein folding by promoting formation of disulfide bonds in their glycoprotein substrates. [provided by RefSeq, Jul 2008],
关闭

在线咨询

Online consultation

  • 在线咨询
  • 技术支持

关注微信公众号

微信扫一扫立即咨询

微信扫一扫立即咨询

关闭