产品中心

Lipocalin-1 rabbit pAb
一键复制产品信息
ES3949
规格: 价格:
50µL ¥1280.00
100µL ¥1980.00

Overview

Product name: Lipocalin-1 rabbit pAb
Reactivity: Human;Rat;Mouse;
Alternative Names: LCN1; VEGP; Lipocalin-1; Tear lipocalin; Tlc; Tear prealbumin; TP; Von Ebner gland protein; VEG protein
Source: Rabbit
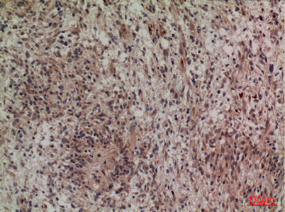
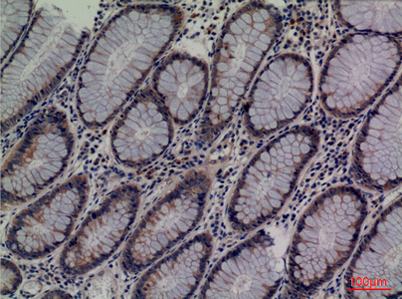
Dilutions: Western Blot: 1/500 - 1/2000. IHC-p: 1:100-300 ELISA: 1/20000. Not yet tested in other applications.
Immunogen: The antiserum was produced against synthesized peptide derived from the Internal region of human LCN1. AA range:11-60
Storage: -20°C/1 year
Clonality: Polyclonal
Isotype: IgG
Concentration: 1 mg/ml
Observed Band: 21kD
GeneID: 3933
Human Swiss-Prot No: P31025
Cellular localization: Secreted.
Background: This gene encodes a member of the lipocalin family of small secretory proteins. Lipocalins are extracellular transport proteins that bind to a variety of hydrophobic ligands. The encoded protein is the primary lipid binding protein in tears and is overproduced in response to multiple stimuli including infection and stress. The encoded protein may be a marker for chromosome aneuploidy as well as an autoantigen in Sjogren's syndrome. Alternatively spliced transcript variants encoding multiple isoforms have been observed for this gene, and two pseudogenes of this gene are also located on the long arm of chromosome 9. [provided by RefSeq, Nov 2011],
关闭

在线咨询

Online consultation

  • 在线咨询
  • 技术支持

关注微信公众号

微信扫一扫立即咨询

微信扫一扫立即咨询

关闭