产品中心

Keap-1 rabbit pAb
一键复制产品信息
ES3948
规格: 价格:
50µL ¥1280.00
100µL ¥1980.00

Overview

Product name: Keap-1 rabbit pAb
Reactivity: Human;Mouse;Rat
Alternative Names: KEAP1; INRF2; KIAA0132; KLHL19; Kelch-like ECH-associated protein 1; Cytosolic inhibitor of Nrf2; INrf2; Kelch-like protein 19
Source: Rabbit
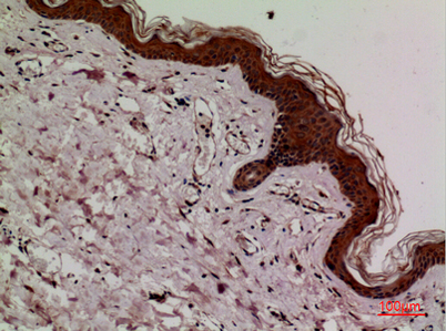
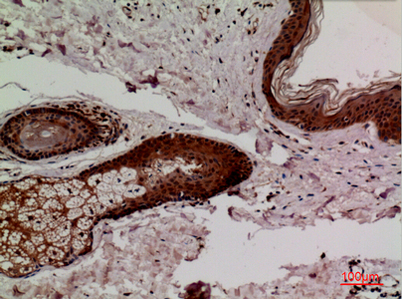
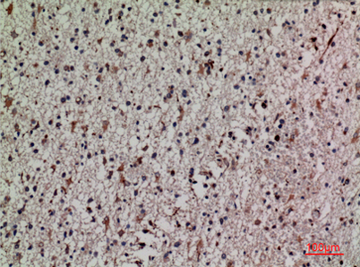
Dilutions: Western Blot: 1/500 - 1/2000. IHC-p: 1:100-300 ELISA: 1/20000. Not yet tested in other applications.
Immunogen: The antiserum was produced against synthesized peptide derived from the Internal region of human KEAP1. AA range:411-460
Storage: -20°C/1 year
Clonality: Polyclonal
Isotype: IgG
Concentration: 1 mg/ml
Observed Band: 70kD
GeneID: 9817
Human Swiss-Prot No: Q14145
Cellular localization: Cytoplasm . Nucleus . Mainly cytoplasmic (PubMed:15601839). In response to selective autophagy, relocalizes to inclusion bodies following interaction with SQSTM1/p62 (PubMed:20452972). .
Background: This gene encodes a protein containing KELCH-1 like domains, as well as a BTB/POZ domain. Kelch-like ECH-associated protein 1 interacts with NF-E2-related factor 2 in a redox-sensitive manner and the dissociation of the proteins in the cytoplasm is followed by transportation of NF-E2-related factor 2 to the nucleus. This interaction results in the expression of the catalytic subunit of gamma-glutamylcysteine synthetase. Two alternatively spliced transcript variants encoding the same isoform have been found for this gene. [provided by RefSeq, Jul 2008],
关闭

在线咨询

Online consultation

  • 在线咨询
  • 技术支持

关注微信公众号

微信扫一扫立即咨询

微信扫一扫立即咨询

关闭