产品中心

MCM3 rabbit pAb
一键复制产品信息
ES3947
规格: 价格:
50µL ¥1280.00
100µL ¥1980.00

Overview

Product name: MCM3 rabbit pAb
Reactivity: Human;Rat;Mouse;
Alternative Names: MCM3; DNA replication licensing factor MCM3; DNA polymerase alpha holoenzyme-associated protein P1; P1-MCM3; RLF subunit beta; p102
Source: Rabbit
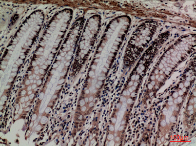
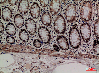
Dilutions: Western Blot: 1/500 - 1/2000. IHC-p: 1:100-300 ELISA: 1/20000. Not yet tested in other applications.
Immunogen: The antiserum was produced against synthesized peptide derived from the Internal region of human MCM3. AA range:641-690
Storage: -20°C/1 year
Clonality: Polyclonal
Isotype: IgG
Concentration: 1 mg/ml
Observed Band: 89kD
GeneID: 4172
Human Swiss-Prot No: P25205
Cellular localization: Nucleus . Chromosome . Associated with chromatin before the formation of nuclei and detaches from it as DNA replication progresses. .
Background: The protein encoded by this gene is one of the highly conserved mini-chromosome maintenance proteins (MCM) that are involved in the initiation of eukaryotic genome replication. The hexameric protein complex formed by MCM proteins is a key component of the pre-replication complex (pre_RC) and may be involved in the formation of replication forks and in the recruitment of other DNA replication related proteins. This protein is a subunit of the protein complex that consists of MCM2-7. It has been shown to interact directly with MCM5/CDC46. This protein also interacts with and is acetylated by MCM3AP, a chromatin-associated acetyltransferase. The acetylation of this protein inhibits the initiation of DNA replication and cell cycle progression. Two transcript variants encoding different isoforms have been found for this gene. [provided by RefSeq, Jul 2012],
关闭

在线咨询

Online consultation

  • 在线咨询
  • 技术支持

关注微信公众号

微信扫一扫立即咨询

微信扫一扫立即咨询

关闭