产品中心

P2X3 rabbit pAb
一键复制产品信息
ES3941
规格: 价格:
50µL ¥1280.00
100µL ¥1980.00

Overview

Product name: P2X3 rabbit pAb
Reactivity: Human;Mouse;Rat
Alternative Names: P2RX3; P2X purinoceptor 3; P2X3; ATP receptor; Purinergic receptor
Source: Rabbit
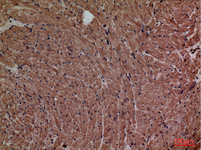
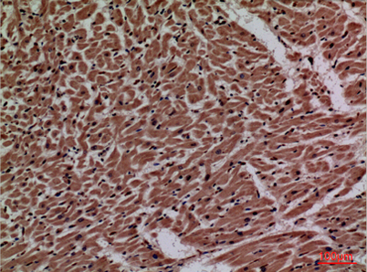
Dilutions: Western Blot: 1/500 - 1/2000. IHC-p: 1:100-300 ELISA: 1/20000. Not yet tested in other applications.
Immunogen: The antiserum was produced against synthesized peptide derived from the Internal region of human P2RX3. AA range:81-130
Storage: -20°C/1 year
Clonality: Polyclonal
Isotype: IgG
Concentration: 1 mg/ml
Observed Band: 44kD
GeneID: 5024
Human Swiss-Prot No: P56373
Cellular localization: Cell membrane ; Multi-pass membrane protein .
Background: The product of this gene belongs to the family of purinoceptors for ATP. This receptor functions as a ligand-gated ion channel and may transduce ATP-evoked nociceptor activation. Mouse studies suggest that this receptor is important for peripheral pain responses, and also participates in pathways controlling urinary bladder volume reflexes. It is possible that the development of selective antagonists for this receptor may have a therapeutic potential in pain relief and in the treatment of disorders of urine storage. [provided by RefSeq, Jul 2008],
关闭

在线咨询

Online consultation

  • 在线咨询
  • 技术支持

关注微信公众号

微信扫一扫立即咨询

微信扫一扫立即咨询

关闭