产品中心

CD68 rabbit pAb
一键复制产品信息
ES3940
规格: 价格:
50µL ¥1280.00
100µL ¥1980.00

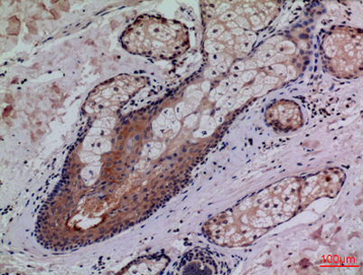
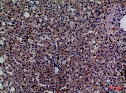
Overview 文献(1)

Product name: CD68 rabbit pAb
Reactivity: Human
Alternative Names: CD68; Macrosialin; Gp110; CD68
Source: Rabbit
Dilutions: Western Blot: 1/500 - 1/2000. IHC-p: 1:100-300 ELISA: 1/20000. Not yet tested in other applications.
Immunogen: The antiserum was produced against synthesized peptide derived from the Internal region of human CD68. AA range:171-220
Storage: -20°C/1 year
Clonality: Polyclonal
Isotype: IgG
Concentration: 1 mg/ml
Observed Band: 37kD
GeneID: 968
Human Swiss-Prot No: P34810
Cellular localization: [Isoform Short]: Cell membrane; Single-pass type I membrane protein.; [Isoform Long]: Endosome membrane; Single-pass type I membrane protein. Lysosome membrane; Single-pass type I membrane protein.
Background: This gene encodes a 110-kD transmembrane glycoprotein that is highly expressed by human monocytes and tissue macrophages. It is a member of the lysosomal/endosomal-associated membrane glycoprotein (LAMP) family. The protein primarily localizes to lysosomes and endosomes with a smaller fraction circulating to the cell surface. It is a type I integral membrane protein with a heavily glycosylated extracellular domain and binds to tissue- and organ-specific lectins or selectins. The protein is also a member of the scavenger receptor family. Scavenger receptors typically function to clear cellular debris, promote phagocytosis, and mediate the recruitment and activation of macrophages. Alternative splicing results in multiple transcripts encoding different isoforms. [provided by RefSeq, Jul 2008],
关闭

在线咨询

Online consultation

  • 在线咨询
  • 技术支持

关注微信公众号

微信扫一扫立即咨询

微信扫一扫立即咨询

关闭