产品中心

BLC rabbit pAb
一键复制产品信息
ES3938
规格: 价格:
50µL ¥1280.00
100µL ¥1980.00

Overview

Product name: BLC rabbit pAb
Reactivity: Human;Rat;Mouse;
Alternative Names: CXCL13; BCA1; BLC; SCYB13; C-X-C motif chemokine 13; Angie; B cell-attracting chemokine 1; BCA-1; B lymphocyte chemoattractant; CXC chemokine BLC; Small-inducible cytokine B13
Source: Rabbit
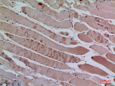
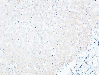
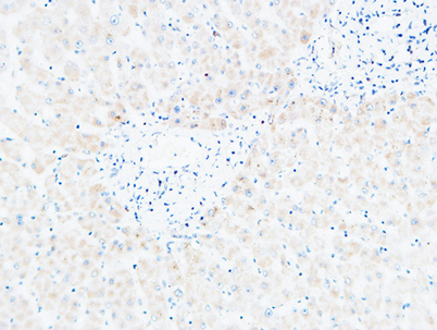
Dilutions: Western Blot: 1/500 - 1/2000. IHC-p: 1:100-300 ELISA: 1/20000. Not yet tested in other applications.
Immunogen: The antiserum was produced against synthesized peptide derived from the Internal region of human CXCL13. AA range:41-90
Storage: -20°C/1 year
Clonality: Polyclonal
Isotype: IgG
Concentration: 1 mg/ml
Observed Band: 15kD
GeneID: 10563
Human Swiss-Prot No: O43927
Cellular localization: Secreted.
Background: C-X-C motif chemokine ligand 13(CXCL13) Homo sapiens B lymphocyte chemoattractant, independently cloned and named Angie, is an antimicrobial peptide and CXC chemokine strongly expressed in the follicles of the spleen, lymph nodes, and Peyer's patches. It preferentially promotes the migration of B lymphocytes (compared to T cells and macrophages), apparently by stimulating calcium influx into, and chemotaxis of, cells expressing Burkitt's lymphoma receptor 1 (BLR-1). It may therefore function in the homing of B lymphocytes to follicles. [provided by RefSeq, Oct 2014],
关闭

在线咨询

Online consultation

  • 在线咨询
  • 技术支持

关注微信公众号

微信扫一扫立即咨询

微信扫一扫立即咨询

关闭