产品中心

CEACAM1/5 rabbit pAb
一键复制产品信息
ES3935
规格: 价格:
50µL ¥1280.00
100µL ¥1980.00

Overview

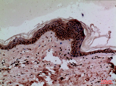
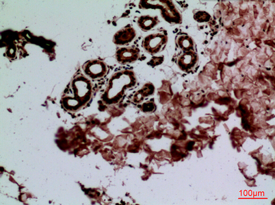
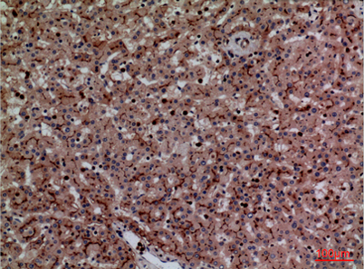
Product name: CEACAM1/5 rabbit pAb
Reactivity: Human;Rat;Mouse;
Alternative Names: CEACAM1; BGP; BGP1; Carcinoembryonic antigen-related cell adhesion molecule 1; Biliary glycoprotein 1; BGP-1; CD66a; CEACAM5; CEA; Carcinoembryonic antigen-related cell adhesion molecule 5; Carcinoembryonic antigen; CEA; Meconium antigen 100; CD66e
Source: Rabbit
Dilutions: Western Blot: 1/500 - 1/2000. IHC-p: 1:100-300 ELISA: 1/20000. Not yet tested in other applications.
Immunogen: The antiserum was produced against synthesized peptide derived from the N-terminal region of human CEACAM1/CEACAM5. AA range:31-80
Storage: -20°C/1 year
Clonality: Polyclonal
Isotype: IgG
Concentration: 1 mg/ml
Observed Band: 58kD
GeneID: 634
Human Swiss-Prot No: P13688
Cellular localization: [Isoform 1]: Cell membrane ; Single-pass type I membrane protein . Lateral cell membrane . Apical cell membrane . Basal cell membrane . Cell junction . Cell junction, adherens junction . Canalicular domain of hepatocyte plasma membranes. Found as a mixture of monomer, dimer and oligomer in the plasma membrane. Occurs predominantly as cis-dimers and/or small cis-oligomers in the cell junction regions. Found as dimer in the solution. Predominantly localized to the lateral cell membranes. .; [Isoform 2]: Secreted .; [Isoform 3]: Secreted .; [Isoform 4]: Secreted .; [Isoform 5]: Cell membrane; Single-pass type I membrane protein.; [Isoform 6]: Cell membrane; Single-pass type I membrane protein.; [Isoform 7]: Cell membrane; Single-pass type I membrane protein.; [Isoform 8]: Cell membrane ; Sing
Background: This gene encodes a member of the carcinoembryonic antigen (CEA) gene family, which belongs to the immunoglobulin superfamily. Two subgroups of the CEA family, the CEA cell adhesion molecules and the pregnancy-specific glycoproteins, are located within a 1.2 Mb cluster on the long arm of chromosome 19. Eleven pseudogenes of the CEA cell adhesion molecule subgroup are also found in the cluster. The encoded protein was originally described in bile ducts of liver as biliary glycoprotein. Subsequently, it was found to be a cell-cell adhesion molecule detected on leukocytes, epithelia, and endothelia. The encoded protein mediates cell adhesion via homophilic as well as heterophilic binding to other proteins of the subgroup. Multiple cellular activities have been attributed to the encoded protein, including roles in the differentiation and arrangement of tissue thre
关闭

在线咨询

Online consultation

  • 在线咨询
  • 技术支持

关注微信公众号

微信扫一扫立即咨询

微信扫一扫立即咨询

关闭