产品中心

IL-1β rabbit pAb
一键复制产品信息
ES3931
规格: 价格:
50µL ¥1280.00
100µL ¥1980.00

Overview 文献(1)

Product name: IL-1β rabbit pAb
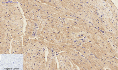
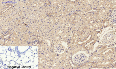
Reactivity: Human;Mouse;Rat
Alternative Names: IL1B; IL1F2; Interleukin-1 beta; IL-1 beta; Catabolin
Source: Rabbit
Dilutions: Western Blot: 1/500 - 1/2000. IHC-p: 1:100-300 ELISA: 1/20000. IF 1:100-300 Not yet tested in other applications.
Immunogen: The antiserum was produced against synthesized peptide derived from the Internal region of human IL1B. AA range:181-230
Storage: -20°C/1 year
Clonality: Polyclonal
Isotype: IgG
Concentration: 1 mg/ml
Observed Band: 17kD
GeneID: 3553
Human Swiss-Prot No: P01584
Cellular localization: Cytoplasm, cytosol . Secreted . Lysosome . Secreted, extracellular exosome . The precursor is cytosolic (PubMed:15192144). In response to inflammasome-activating signals, such as ATP for NLRP3 inflammasome or bacterial flagellin for NLRC4 inflammasome, cleaved and secreted (PubMed:24201029, PubMed:33377178, PubMed:33883744). Mature form is secreted and released in the extracellular milieu by passing through the gasdermin-D (GSDMD) pore (PubMed:33883744). In contrast, the precursor form is not released, due to the presence of an acidic region that is proteolytically removed by CASP1 during maturation (PubMed:33883744). The secretion is dependent on protein unfolding and facilitated by the cargo receptor TMED10 (PubMed:32272059). .
Background: The protein encoded by this gene is a member of the interleukin 1 cytokine family. This cytokine is produced by activated macrophages as a proprotein, which is proteolytically processed to its active form by caspase 1 (CASP1/ICE). This cytokine is an important mediator of the inflammatory response, and is involved in a variety of cellular activities, including cell proliferation, differentiation, and apoptosis. The induction of cyclooxygenase-2 (PTGS2/COX2) by this cytokine in the central nervous system (CNS) is found to contribute to inflammatory pain hypersensitivity. This gene and eight other interleukin 1 family genes form a cytokine gene cluster on chromosome 2. [provided by RefSeq, Jul 2008],
关闭

在线咨询

Online consultation

  • 在线咨询
  • 技术支持

关注微信公众号

微信扫一扫立即咨询

微信扫一扫立即咨询

关闭