产品中心

CRP rabbit pAb
一键复制产品信息
ES3926
规格: 价格:
50µL ¥1280.00
100µL ¥1980.00

Overview

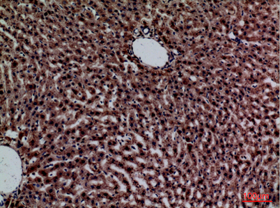
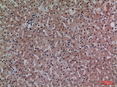
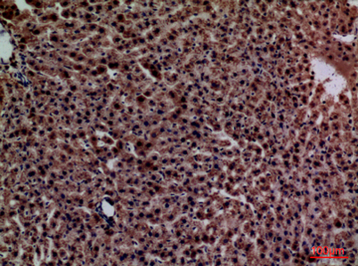
Product name: CRP rabbit pAb
Reactivity: Human;Rat
Alternative Names: CRP; PTX1; C-reactive protein
Source: Rabbit
Dilutions: Western Blot: 1/500 - 1/2000. IHC-p: 1:100-300 ELISA: 1/20000. Not yet tested in other applications.
Immunogen: The antiserum was produced against synthesized peptide derived from the Internal region of human CRP. AA range:101-150
Storage: -20°C/1 year
Clonality: Polyclonal
Isotype: IgG
Concentration: 1 mg/ml
Observed Band: 25kD
GeneID: 1401
Human Swiss-Prot No: P02741
Cellular localization: Secreted.
Background: C-reactive protein(CRP) Homo sapiens The protein encoded by this gene belongs to the pentaxin family. It is involved in several host defense related functions based on its ability to recognize foreign pathogens and damaged cells of the host and to initiate their elimination by interacting with humoral and cellular effector systems in the blood. Consequently, the level of this protein in plasma increases greatly during acute phase response to tissue injury, infection, or other inflammatory stimuli. [provided by RefSeq, Sep 2009],
关闭

在线咨询

Online consultation

  • 在线咨询
  • 技术支持

关注微信公众号

微信扫一扫立即咨询

微信扫一扫立即咨询

关闭