产品中心

HoxD3 rabbit pAb
一键复制产品信息
ES3925
规格: 价格:
50µL ¥1280.00
100µL ¥1980.00

Overview

Product name: HoxD3 rabbit pAb
Reactivity: Human;Mouse;Rat
Alternative Names: HOXD3; HOX1D; HOX4A; Homeobox protein Hox-D3; Homeobox protein Hox-4A
Source: Rabbit
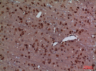
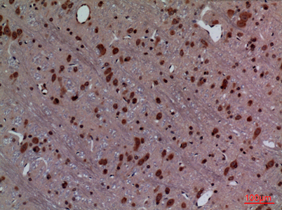
Dilutions: Western Blot: 1/500 - 1/2000. IHC-p: 1:100-300 ELISA: 1/20000. Not yet tested in other applications.
Immunogen: The antiserum was produced against synthesized peptide derived from the Internal region of human HOXD3. AA range:211-260
Storage: -20°C/1 year
Clonality: Polyclonal
Isotype: IgG
Concentration: 1 mg/ml
Observed Band: 45kD
GeneID: 3232
Human Swiss-Prot No: P31249
Cellular localization: Nucleus.
Background: This gene belongs to the homeobox family of genes. The homeobox genes encode a highly conserved family of transcription factors that play an important role in morphogenesis in all multicellular organisms. Mammals possess four similar homeobox gene clusters, HOXA, HOXB, HOXC and HOXD, located on different chromosomes, consisting of 9 to 11 genes arranged in tandem. This gene is one of several homeobox HOXD genes located at 2q31-2q37 chromosome regions. Deletions that removed the entire HOXD gene cluster or 5' end of this cluster have been associated with severe limb and genital abnormalities. The protein encoded by this gene may play a role in the regulation of cell adhesion processes. [provided by RefSeq, Jul 2008],
关闭

在线咨询

Online consultation

  • 在线咨询
  • 技术支持

关注微信公众号

微信扫一扫立即咨询

微信扫一扫立即咨询

关闭