产品中心

TF rabbit pAb
一键复制产品信息
ES3924
规格: 价格:
50µL ¥1280.00
100µL ¥1980.00

Overview

Product name: TF rabbit pAb
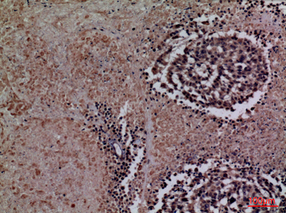
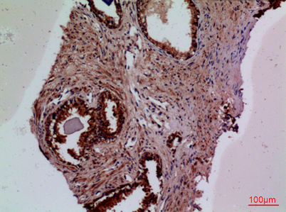
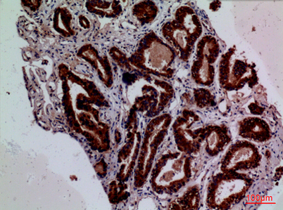
Reactivity: Human;Rat;Mouse;
Alternative Names: F3; Tissue factor; TF; Coagulation factor III; Thromboplastin; CD142
Source: Rabbit
Dilutions: Western Blot: 1/500 - 1/2000. IHC-p: 1:100-300 ELISA: 1/20000. Not yet tested in other applications.
Immunogen: The antiserum was produced against synthesized peptide derived from the Internal region of human F3. AA range:131-180
Storage: -20°C/1 year
Clonality: Polyclonal
Isotype: IgG
Concentration: 1 mg/ml
Observed Band: 33kD
GeneID: 2152
Human Swiss-Prot No: P13726
Cellular localization: [Isoform 1]: Membrane ; Single-pass type I membrane protein .; [Isoform 2]: Secreted .
Background: This gene encodes coagulation factor III which is a cell surface glycoprotein. This factor enables cells to initiate the blood coagulation cascades, and it functions as the high-affinity receptor for the coagulation factor VII. The resulting complex provides a catalytic event that is responsible for initiation of the coagulation protease cascades by specific limited proteolysis. Unlike the other cofactors of these protease cascades, which circulate as nonfunctional precursors, this factor is a potent initiator that is fully functional when expressed on cell surfaces. There are 3 distinct domains of this factor: extracellular, transmembrane, and cytoplasmic. This protein is the only one in the coagulation pathway for which a congenital deficiency has not been described. Alternate splicing results in multiple transcript variants.[provided by RefSeq, May 2010],
关闭

在线咨询

Online consultation

  • 在线咨询
  • 技术支持

关注微信公众号

微信扫一扫立即咨询

微信扫一扫立即咨询

关闭