产品中心

CUL-4B rabbit pAb
一键复制产品信息
ES3918
规格: 价格:
50µL ¥1280.00
100µL ¥1980.00

Overview

Product name: CUL-4B rabbit pAb
Reactivity: Human;Mouse;Rat
Alternative Names: CUL4B; KIAA0695; Cullin-4B; CUL-4B
Source: Rabbit
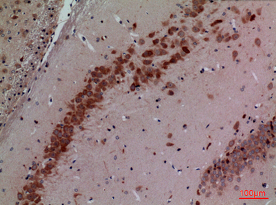
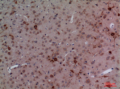
Dilutions: Western Blot: 1/500 - 1/2000. IHC-p: 1:100-300 ELISA: 1/20000. Not yet tested in other applications.
Immunogen: The antiserum was produced against synthesized peptide derived from the Internal region of human CUL4B. AA range:711-760
Storage: -20°C/1 year
Clonality: Polyclonal
Isotype: IgG
Concentration: 1 mg/ml
Observed Band: 110kD
GeneID: 8450
Human Swiss-Prot No: Q13620
Cellular localization: Nucleus .
Background: This gene is a member of the cullin family. The encoded protein forms a complex that functions as an E3 ubiquitin ligase and catalyzes the polyubiquitination of specific protein substrates in the cell. The protein interacts with a ring finger protein, and is required for the proteolysis of several regulators of DNA replication including chromatin licensing and DNA replication factor 1 and cyclin E. Multiple transcript variants encoding different isoforms have been found for this gene. [provided by RefSeq, Jul 2008],
关闭

在线咨询

Online consultation

  • 在线咨询
  • 技术支持

关注微信公众号

微信扫一扫立即咨询

微信扫一扫立即咨询

关闭