产品中心

Aldolase C rabbit pAb
一键复制产品信息
ES3914
规格: 价格:
50µL ¥1280.00
100µL ¥1980.00

Overview

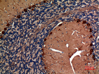
Product name: Aldolase C rabbit pAb
Reactivity: Human;Mouse;Rat
Alternative Names: ALDOC; ALDC; Fructose-bisphosphate aldolase C; Brain-type aldolase
Source: Rabbit
Dilutions: Western Blot: 1/500 - 1/2000. IHC-p: 1:100-300 ELISA: 1/20000. Not yet tested in other applications.
Immunogen: The antiserum was produced against synthesized peptide derived from the N-terminal region of human ALDOC. AA range:21-70
Storage: -20°C/1 year
Clonality: Polyclonal
Isotype: IgG
Concentration: 1 mg/ml
Observed Band: 39kD
GeneID: 230
Human Swiss-Prot No: P09972
Cellular localization: mitochondrion,cytosol,cytoskeleton,extracellular exosome,
Background: This gene encodes a member of the class I fructose-biphosphate aldolase gene family. Expressed specifically in the hippocampus and Purkinje cells of the brain, the encoded protein is a glycolytic enzyme that catalyzes the reversible aldol cleavage of fructose-1,6-biphosphate and fructose 1-phosphate to dihydroxyacetone phosphate and either glyceraldehyde-3-phosphate or glyceraldehyde, respectively. [provided by RefSeq, Jul 2008],
关闭

在线咨询

Online consultation

  • 在线咨询
  • 技术支持

关注微信公众号

微信扫一扫立即咨询

微信扫一扫立即咨询

关闭