产品中心

FGF-18 rabbit pAb
一键复制产品信息
ES3911
规格: 价格:
50µL ¥1280.00
100µL ¥1980.00

Overview

Product name: FGF-18 rabbit pAb
Reactivity: Human;Mouse;Rat
Alternative Names: FGF18; Fibroblast growth factor 18; FGF-18; zFGF5
Source: Rabbit
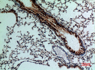
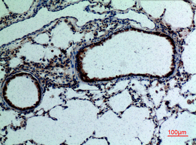
Dilutions: Western Blot: 1/500 - 1/2000. IHC-p: 1:100-300 ELISA: 1/20000. Not yet tested in other applications.
Immunogen: The antiserum was produced against synthesized peptide derived from the C-terminal region of human FGF18. AA range:158-207
Storage: -20°C/1 year
Clonality: Polyclonal
Isotype: IgG
Concentration: 1 mg/ml
Observed Band: 28kD
GeneID: 8817
Human Swiss-Prot No: O76093
Cellular localization: Secreted .
Background: The protein encoded by this gene is a member of the fibroblast growth factor (FGF) family. FGF family members possess broad mitogenic and cell survival activities, and are involved in a variety of biological processes, including embryonic development, cell growth, morphogenesis, tissue repair, tumor growth, and invasion. It has been shown in vitro that this protein is able to induce neurite outgrowth in PC12 cells. Studies of the similar proteins in mouse and chick suggested that this protein is a pleiotropic growth factor that stimulates proliferation in a number of tissues, most notably the liver and small intestine. Knockout studies of the similar gene in mice implied the role of this protein in regulating proliferation and differentiation of midline cerebellar structures. [provided by RefSeq, Jul 2008],
关闭

在线咨询

Online consultation

  • 在线咨询
  • 技术支持

关注微信公众号

微信扫一扫立即咨询

微信扫一扫立即咨询

关闭