产品中心

FGF-9 rabbit pAb
一键复制产品信息
ES3909
规格: 价格:
50µL ¥1280.00
100µL ¥1980.00

Overview

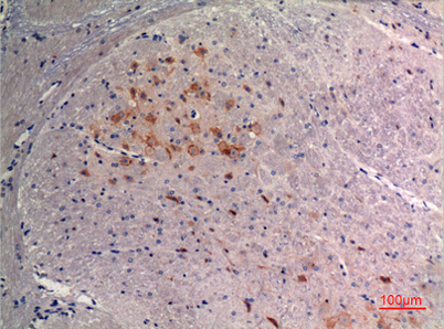
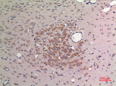
Product name: FGF-9 rabbit pAb
Reactivity: Human;Mouse;Rat
Alternative Names: FGF9; Fibroblast growth factor 9; FGF-9; Glia-activating factor; GAF; Heparin-binding growth factor 9; HBGF-9
Source: Rabbit
Dilutions: Western Blot: 1/500 - 1/2000. IHC-p: 1:100-300 ELISA: 1/20000. Not yet tested in other applications.
Immunogen: The antiserum was produced against synthesized peptide derived from the C-terminal region of human FGF9. AA range:141-190
Storage: -20°C/1 year
Clonality: Polyclonal
Isotype: IgG
Concentration: 1 mg/ml
Observed Band: 23kD
GeneID: 2254
Human Swiss-Prot No: P31371
Cellular localization: Secreted.
Background: The protein encoded by this gene is a member of the fibroblast growth factor (FGF) family. FGF family members possess broad mitogenic and cell survival activities, and are involved in a variety of biological processes, including embryonic development, cell growth, morphogenesis, tissue repair, tumor growth and invasion. This protein was isolated as a secreted factor that exhibits a growth-stimulating effect on cultured glial cells. In nervous system, this protein is produced mainly by neurons and may be important for glial cell development. Expression of the mouse homolog of this gene was found to be dependent on Sonic hedgehog (Shh) signaling. Mice lacking the homolog gene displayed a male-to-female sex reversal phenotype, which suggested a role in testicular embryogenesis. [provided by RefSeq, Jul 2008],
关闭

在线咨询

Online consultation

  • 在线咨询
  • 技术支持

关注微信公众号

微信扫一扫立即咨询

微信扫一扫立即咨询

关闭