产品中心

Cytokeratin 14 rabbit pAb
一键复制产品信息
ES3903
规格: 价格:
50µL ¥1280.00
100µL ¥1980.00

Overview

Product name: Cytokeratin 14 rabbit pAb
Reactivity: Human;Mouse;Rat
Alternative Names: KRT14; Keratin, type I cytoskeletal 14; Cytokeratin-14; CK-14; Keratin-14; K14
Source: Rabbit
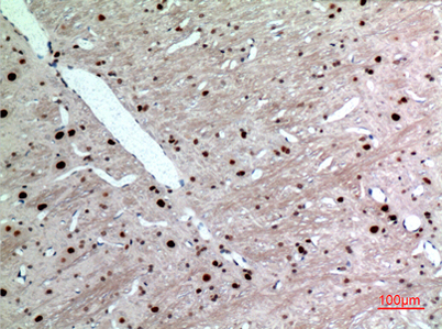
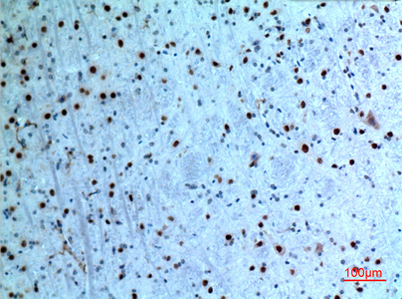
Dilutions: Western Blot: 1/500 - 1/2000. IHC-p: 1:100-300 ELISA: 1/20000. Not yet tested in other applications.
Immunogen: The antiserum was produced against synthesized peptide derived from the C-terminal region of human KRT14. AA range:421-470
Storage: -20°C/1 year
Clonality: Polyclonal
Isotype: IgG
Concentration: 1 mg/ml
Observed Band: 53kD
GeneID: 3861
Human Swiss-Prot No: P02533
Cellular localization: Cytoplasm. Nucleus. Expressed in both as a filamentous pattern.
Background: This gene encodes a member of the keratin family, the most diverse group of intermediate filaments. This gene product, a type I keratin, is usually found as a heterotetramer with two keratin 5 molecules, a type II keratin. Together they form the cytoskeleton of epithelial cells. Mutations in the genes for these keratins are associated with epidermolysis bullosa simplex. At least one pseudogene has been identified at 17p12-p11. [provided by RefSeq, Jul 2008],
关闭

在线咨询

Online consultation

  • 在线咨询
  • 技术支持

关注微信公众号

微信扫一扫立即咨询

微信扫一扫立即咨询

关闭