产品中心

CD66e rabbit pAb
一键复制产品信息
ES3902
规格: 价格:
50µL ¥1280.00
100µL ¥1980.00

Overview

Product name: CD66e rabbit pAb
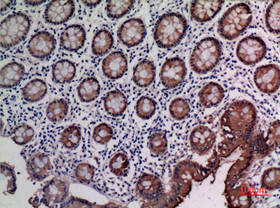
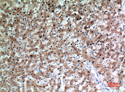
Reactivity: Human;Rat;Mouse;
Alternative Names: CEACAM5; CEA; Carcinoembryonic antigen-related cell adhesion molecule 5; Carcinoembryonic antigen; CEA; Meconium antigen 100; CD66e
Source: Rabbit
Dilutions: Western Blot: 1/500 - 1/2000. IHC-p: 1:100-300 ELISA: 1/20000. Not yet tested in other applications.
Immunogen: The antiserum was produced against synthesized peptide derived from the Internal region of human CEACAM5. AA range:481-530
Storage: -20°C/1 year
Clonality: Polyclonal
Isotype: IgG
Concentration: 1 mg/ml
Observed Band: 76kD
GeneID: 1048
Human Swiss-Prot No: P06731
Cellular localization: Cell membrane ; Lipid-anchor, GPI-anchor . Apical cell membrane . Cell surface . Localized to the apical glycocalyx surface. .
Background: This gene encodes a cell surface glycoprotein that represents the founding member of the carcinoembryonic antigen (CEA) family of proteins. The encoded protein is used as a clinical biomarker for gastrointestinal cancers and may promote tumor development through its role as a cell adhesion molecule. Additionally, the encoded protein may regulate differentiation, apoptosis, and cell polarity. This gene is present in a CEA family gene cluster on chromosome 19. Alternative splicing results in multiple transcript variants. [provided by RefSeq, Jul 2015],
关闭

在线咨询

Online consultation

  • 在线咨询
  • 技术支持

关注微信公众号

微信扫一扫立即咨询

微信扫一扫立即咨询

关闭