产品中心

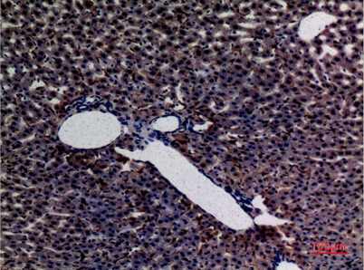
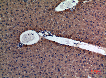
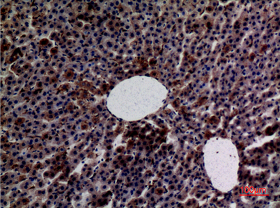
Amylase rabbit pAb
一键复制产品信息
ES3894
规格: 价格:
50µL ¥1280.00
100µL ¥1980.00

Overview

Product name: Amylase rabbit pAb
Reactivity: Human;Mouse;Rat
Alternative Names: AMY1A; AMY1; AMY1B; AMY1; AMY1C; AMY1; Alpha-amylase 1; 1,4-alpha-D-glucan glucanohydrolase 1; Salivary alpha-amylase; AMY2A; Pancreatic alpha-amylase; PA;1,4-alpha-D-glucan glucanohydrolase; AMY2B; Alpha-amylase 2B; 1,4-alpha-D-glucan glucanohydrolase 2B; Carcinoid alpha-amylase
Source: Rabbit
Dilutions: Western Blot: 1/500 - 1/2000. IHC-p: 1:100-300 ELISA: 1/20000. Not yet tested in other applications.
Immunogen: The antiserum was produced against synthesized peptide derived from the N-terminal region of human AMY1/2. AA range:61-110
Storage: -20°C/1 year
Clonality: Polyclonal
Isotype: IgG
Concentration: 1 mg/ml
Observed Band: 60kD
GeneID: 276
Human Swiss-Prot No: P04745
Cellular localization: extracellular space,extracellular exosome,
Background: Amylases are secreted proteins that hydrolyze 1,4-alpha-glucoside bonds in oligosaccharides and polysaccharides, and thus catalyze the first step in digestion of dietary starch and glycogen. The human genome has a cluster of several amylase genes that are expressed at high levels in either salivary gland or pancreas. This gene encodes an amylase isoenzyme produced by the salivary gland. Alternative splicing results in multiple transcript variants encoding the same protein. [provided by RefSeq, Jul 2008],
关闭

在线咨询

Online consultation

  • 在线咨询
  • 技术支持

关注微信公众号

微信扫一扫立即咨询

微信扫一扫立即咨询

关闭