产品中心

FGF-12 rabbit pAb
一键复制产品信息
ES3891
规格: 价格:
50µL ¥1280.00
100µL ¥1980.00

Overview

Product name: FGF-12 rabbit pAb
Reactivity: Human;Mouse;Rat
Alternative Names: FGF12; FGF12B; FHF1; Fibroblast growth factor 12; FGF-12; Fibroblast growth factor homologous factor 1; FHF-1; Myocyte-activating factor
Source: Rabbit
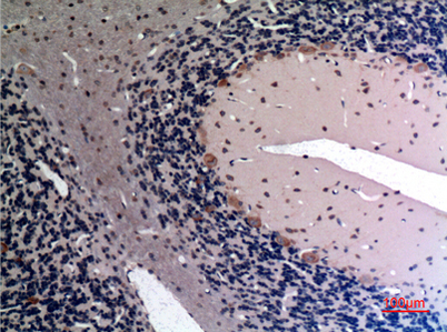
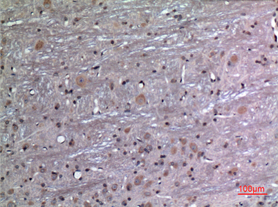
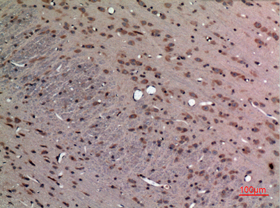
Dilutions: Western Blot: 1/500 - 1/2000. IHC-p: 1:100-300 ELISA: 1/20000. Not yet tested in other applications.
Immunogen: The antiserum was produced against synthesized peptide derived from the Internal region of human FGF12. AA range:31-80
Storage: -20°C/1 year
Clonality: Polyclonal
Isotype: IgG
Concentration: 1 mg/ml
Observed Band: 27kD
GeneID: 2257
Human Swiss-Prot No: P61328
Cellular localization: Nucleus .
Background: The protein encoded by this gene is a member of the fibroblast growth factor (FGF) family. FGF family members possess broad mitogenic and cell survival activities, and are involved in a variety of biological processes, including embryonic development, cell growth, morphogenesis, tissue repair, tumor growth, and invasion. This growth factor lacks the N-terminal signal sequence present in most of the FGF family members, but it contains clusters of basic residues that have been demonstrated to act as a nuclear localization signal. When transfected into mammalian cells, this protein accumulated in the nucleus, but was not secreted. The specific function of this gene has not yet been determined. Two alternatively spliced transcript variants encoding distinct isoforms have been reported. [provided by RefSeq, Jul 2008],
关闭

在线咨询

Online consultation

  • 在线咨询
  • 技术支持

关注微信公众号

微信扫一扫立即咨询

微信扫一扫立即咨询

关闭