产品中心

BNIP-3 rabbit pAb
一键复制产品信息
ES3884
规格: 价格:
50µL ¥1280.00
100µL ¥1980.00

Overview

Product name: BNIP-3 rabbit pAb
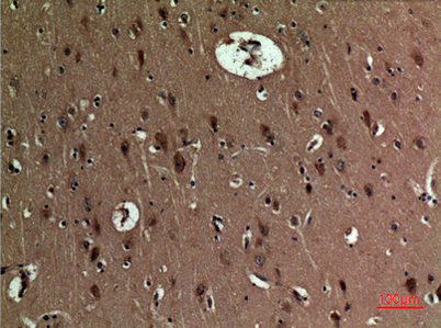
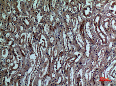
Reactivity: Human;Rat;Mouse;
Alternative Names: BNIP3; NIP3; BCL2/adenovirus E1B 19 kDa protein-interacting protein 3
Source: Rabbit
Dilutions: Western Blot: 1/500 - 1/2000. IHC-p: 1:100-300 ELISA: 1/20000. Not yet tested in other applications.
Immunogen: The antiserum was produced against synthesized peptide derived from the Internal region of human BNIP3. AA range:71-120
Storage: -20°C/1 year
Clonality: Polyclonal
Isotype: IgG
Concentration: 1 mg/ml
Observed Band: 22kD
GeneID: 664
Human Swiss-Prot No: Q12983
Cellular localization: Mitochondrion. Mitochondrion outer membrane; Single-pass membrane protein. Coexpression with the EIB 19-kDa protein results in a shift in NIP3 localization pattern to the nuclear envelope. Colocalizes with ACAA2 in the mitochondria. Colocalizes with SPATA18 at the mitochondrion outer membrane.
Background: This gene is encodes a mitochondrial protein that contains a BH3 domain and acts as a pro-apoptotic factor. The encoded protein interacts with anti-apoptotic proteins, including the E1B 19 kDa protein and Bcl2. This gene is silenced in tumors by DNA methylation. [provided by RefSeq, Dec 2014],
关闭

在线咨询

Online consultation

  • 在线咨询
  • 技术支持

关注微信公众号

微信扫一扫立即咨询

微信扫一扫立即咨询

关闭