产品中心

Sg III rabbit pAb
一键复制产品信息
ES3872
规格: 价格:
50µL ¥1280.00
100µL ¥1980.00

Overview

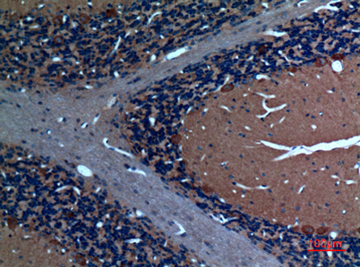
Product name: Sg III rabbit pAb
Reactivity: Human;Rat
Alternative Names: SCG3; Secretogranin-3; Secretogranin III; SgIII
Source: Rabbit
Dilutions: Western Blot: 1/500 - 1/2000. IHC-p: 1:100-300 ELISA: 1/20000. Not yet tested in other applications.
Immunogen: The antiserum was produced against synthesized peptide derived from the N-terminal region of human SCG3. AA range:21-70
Storage: -20°C/1 year
Clonality: Polyclonal
Isotype: IgG
Concentration: 1 mg/ml
Observed Band: 53kD
GeneID: 29106
Human Swiss-Prot No: Q8WXD2
Cellular localization: Cytoplasmic vesicle, secretory vesicle . Cytoplasmic vesicle, secretory vesicle membrane ; Peripheral membrane protein . Secreted . Associated with the secretory granule membrane through direct binding to cholesterol-enriched lipid rafts. .
Background: secretogranin III(SCG3) Homo sapiens The protein encoded by this gene is a member of the chromogranin/secretogranin family of neuroendocrine secretory proteins. Granins may serve as precursors for biologically active peptides. Some granins have been shown to function as helper proteins in sorting and proteolytic processing of prohormones; however, the function of this protein is unknown. Two transcript variants encoding different isoforms have been found for this gene. [provided by RefSeq, Sep 2009],
关闭

在线咨询

Online consultation

  • 在线咨询
  • 技术支持

关注微信公众号

微信扫一扫立即咨询

微信扫一扫立即咨询

关闭