产品中心

UCH-L1 rabbit pAb
一键复制产品信息
ES3871
规格: 价格:
50µL ¥1280.00
100µL ¥1980.00

Overview

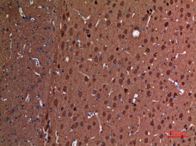
Product name: UCH-L1 rabbit pAb
Reactivity: Human;Mouse;Rat
Alternative Names: UCHL1; Ubiquitin carboxyl-terminal hydrolase isozyme L1; UCH-L1; Neuron cytoplasmic protein 9.5; PGP 9.5; PGP9.5; Ubiquitin thioesterase L1
Source: Rabbit
Dilutions: Western Blot: 1/500 - 1/2000. IHC-p: 1:100-300 ELISA: 1/20000. Not yet tested in other applications.
Immunogen: The antiserum was produced against synthesized peptide derived from the Internal region of human UCHL1. AA range:31-80
Storage: -20°C/1 year
Clonality: Polyclonal
Isotype: IgG
Concentration: 1 mg/ml
Observed Band: 25kD
GeneID: 7345
Human Swiss-Prot No: P09936
Cellular localization: Cytoplasm . Endoplasmic reticulum membrane ; Lipid-anchor . About 30% of total UCHL1 is associated with membranes in brain.
Background: The protein encoded by this gene belongs to the peptidase C12 family. This enzyme is a thiol protease that hydrolyzes a peptide bond at the C-terminal glycine of ubiquitin. This gene is specifically expressed in the neurons and in cells of the diffuse neuroendocrine system. Mutations in this gene may be associated with Parkinson disease.[provided by RefSeq, Sep 2009],
关闭

在线咨询

Online consultation

  • 在线咨询
  • 技术支持

关注微信公众号

微信扫一扫立即咨询

微信扫一扫立即咨询

关闭