产品中心

HSPBAP1 rabbit pAb
一键复制产品信息
ES3869
规格: 价格:
50µL ¥1280.00
100µL ¥1980.00

Overview

Product name: HSPBAP1 rabbit pAb
Reactivity: Human;Rat;Mouse;
Alternative Names: HSPBAP1; PASS1; HSPB1-associated protein 1; 27 kDa heat shock protein-associated protein 1; Protein associated with small stress protein 1
Source: Rabbit
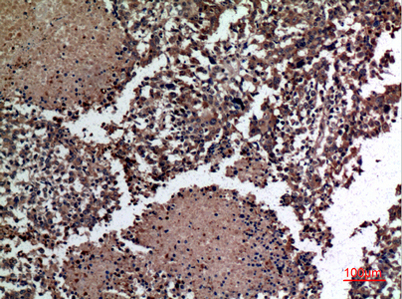
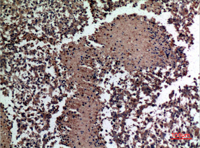
Dilutions: Western Blot: 1/500 - 1/2000. IHC-p: 1:100-300 ELISA: 1/20000. Not yet tested in other applications.
Immunogen: The antiserum was produced against synthesized peptide derived from the Internal region of human HSPBAP1. AA range:321-370
Storage: -20°C/1 year
Clonality: Polyclonal
Isotype: IgG
Concentration: 1 mg/ml
Observed Band: 55kD
GeneID: 79663
Human Swiss-Prot No: Q96EW2
Cellular localization: Cytoplasm .
Background: This gene encodes a protein that binds to one of the small heat shock proteins, specifically hsp27. Hsp27 is involved with cell growth and differentiation. This encoded protein was found to be abnormally expressed in patients with intractable epilepsy, although how brain function is affected remains unknown. [provided by RefSeq, Sep 2011],
关闭

在线咨询

Online consultation

  • 在线咨询
  • 技术支持

关注微信公众号

微信扫一扫立即咨询

微信扫一扫立即咨询

关闭