产品中心

IL-10 rabbit pAb
一键复制产品信息
ES3868
规格: 价格:
50µL ¥1280.00
100µL ¥1980.00

Overview

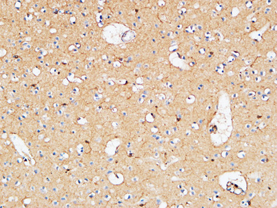
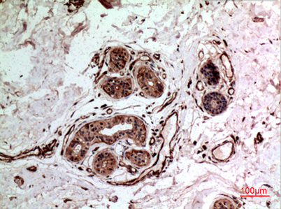
Product name: IL-10 rabbit pAb
Reactivity: Human;Mouse;Rat
Alternative Names: IL10; Interleukin-10; IL-10; Cytokine synthesis inhibitory factor; CSIF
Source: Rabbit
Dilutions: Western Blot: 1/500 - 1/2000. IHC-p: 1:100-300 ELISA: 1/20000. IF 1:100-300 Not yet tested in other applications.
Immunogen: The antiserum was produced against synthesized peptide derived from the Internal region of human IL10. AA range:71-120
Storage: -20°C/1 year
Clonality: Polyclonal
Isotype: IgG
Concentration: 1 mg/ml
Observed Band: 20kD
GeneID: 3586
Human Swiss-Prot No: P22301
Cellular localization: Secreted.
Background: The protein encoded by this gene is a cytokine produced primarily by monocytes and to a lesser extent by lymphocytes. This cytokine has pleiotropic effects in immunoregulation and inflammation. It down-regulates the expression of Th1 cytokines, MHC class II Ags, and costimulatory molecules on macrophages. It also enhances B cell survival, proliferation, and antibody production. This cytokine can block NF-kappa B activity, and is involved in the regulation of the JAK-STAT signaling pathway. Knockout studies in mice suggested the function of this cytokine as an essential immunoregulator in the intestinal tract. Mutations in this gene are associated with an increased susceptibility to HIV-1 infection and rheumatoid arthritis.[provided by RefSeq, May 2011],
关闭

在线咨询

Online consultation

  • 在线咨询
  • 技术支持

关注微信公众号

微信扫一扫立即咨询

微信扫一扫立即咨询

关闭