首页
产品中心
抗体
单克隆抗体
多克隆抗体
二抗
内参及标签抗体
ELISA试剂盒
常规法
一步法(EasyStep)
微量法(Microsample)
分子生物学
核酸提取与纯化
qPCR/RT-PCR
克隆系统
细胞代谢与生化检测
生化检测试剂盒
蛋白
重组/天然蛋白
研究方向
最新活动
技术专栏
引用文献
实验小贴士
常见问题
技术讨论
资料下载
新闻中心
公司新闻
行业新闻
产品画册
关于我们
公司介绍
客户评鉴
人才招聘
联系我们
联系订购
网站首页
产品中心
抗体
单克隆抗体
多克隆抗体
二抗
内参及标签抗体
ELISA试剂盒
常规法
一步法(EasyStep)
微量法(Microsample)
分子生物学
核酸提取与纯化
qPCR/RT-PCR
克隆系统
细胞代谢与生化检测
生化检测试剂盒
蛋白
重组/天然蛋白
研究方向
最新活动
最新活动
技术专栏
引用文献
实验小贴士
常见问题
技术讨论
资料下载
新闻中心
公司新闻
行业新闻
产品画册
关于我们
公司介绍
客户评鉴
人才招聘
联系我们
联系订购
产品中心
抗体
ELISA试剂盒
分子生物学
细胞代谢与生化检测
蛋白
Latexin rabbit pAb
一键复制产品信息
ES3864
¥1280.00/50µL ¥1980.00/100µL
规格:
价格:
50µL
¥1280.00
100µL
¥1980.00
下载说明 ①
Overview
Product name:
Latexin rabbit pAb
Reactivity:
Human;Mouse;Rat
Alternative Names:
LXN; Latexin; Endogenous carboxypeptidase inhibitor; ECI; Protein MUM; Tissue carboxypeptidase inhibitor; TCI
Source:
Rabbit
Dilutions:
Western Blot: 1/500 - 1/2000. IHC-p: 1:100-300 ELISA: 1/20000. Not yet tested in other applications.
Immunogen:
Synthesized peptide derived from Latexin . at AA range: 90-170
Storage:
-20°C/1 year
Clonality:
Polyclonal
Isotype:
IgG
Concentration:
1 mg/ml
Observed Band:
25kD
GeneID:
56925
Human Swiss-Prot No:
Q9BS40
Cellular localization:
Cytoplasm .
Background:
This gene encodes the only known protein inhibitor of zinc-dependent metallocarboxypeptidases. [provided by RefSeq, Oct 2008],
Western Blot analysis of 22RV-1, MCF7, OVCAR3, H460, HT29, BT474, mouse heart cells using Latexin Polyclonal Antibody. Secondary antibody(catalog#:RS0002) was diluted at 1:20000
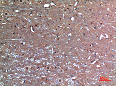
Immunohistochemical analysis of paraffin-embedded rat-brain, antibody was diluted at 1:100
Immunohistochemical analysis of paraffin-embedded rat-brain, antibody was diluted at 1:100
关闭
在线咨询
Online consultation
在线咨询
技术支持
关注微信公众号
微信扫一扫立即咨询
微信电脑端咨询
微信扫一扫立即咨询
微信电脑端咨询
关闭