产品中心

α-SMA rabbit pAb
一键复制产品信息
ES3850
规格: 价格:
50µL ¥1280.00
100µL ¥1980.00

Overview

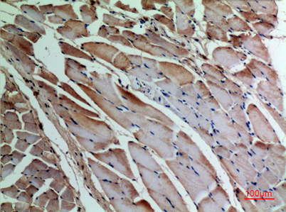
Product name: α-SMA rabbit pAb
Reactivity: Human;Mouse;Rat
Alternative Names: ACTA1; ACTA; Actin, alpha skeletal muscle; Alpha-actin-1; ACTA2; ACTSA; ACTVS; GIG46; Actin, aortic smooth muscle; Alpha-actin-2; Cell growth-inhibiting gene 46 protein; ACTC1; ACTC; Actin, alpha cardiac muscle 1; Alpha-cardiac actinACTA1; ACTA; Actin, alpha skeletal muscle; Alpha-actin-1; ACTA2; ACTSA; ACTVS; GIG46; Actin, aortic smooth muscle; Alpha-actin-2; Cell growth-inhibiting gene 46 protein; ACTC1; ACTC; Actin, alpha cardiac muscle 1; Alpha-cardiac actin
Source: Rabbit
Dilutions: Western Blot: 1/500 - 1/2000. IHC-p: 1:100-300 ELISA: 1/20000. Not yet tested in other applications.
Immunogen: Synthesized peptide derived from the C-terminal region of human α-SMA.
Storage: -20°C/1 year
Clonality: Polyclonal
Isotype: IgG
Concentration: 1 mg/ml
Observed Band: 42kD
GeneID: 59
Human Swiss-Prot No: P68133
Cellular localization: Cytoplasm, cytoskeleton.
Background: The product encoded by this gene belongs to the actin family of proteins, which are highly conserved proteins that play a role in cell motility, structure and integrity. Alpha, beta and gamma actin isoforms have been identified, with alpha actins being a major constituent of the contractile apparatus, while beta and gamma actins are involved in the regulation of cell motility. This actin is an alpha actin that is found in skeletal muscle. Mutations in this gene cause nemaline myopathy type 3, congenital myopathy with excess of thin myofilaments, congenital myopathy with cores, and congenital myopathy with fiber-type disproportion, diseases that lead to muscle fiber defects. [provided by RefSeq, Jul 2008],
关闭

在线咨询

Online consultation

  • 在线咨询
  • 技术支持

关注微信公众号

微信扫一扫立即咨询

微信扫一扫立即咨询

关闭