产品中心

JAM-B rabbit pAb
一键复制产品信息
ES3845
规格: 价格:
50µL ¥1280.00
100µL ¥1980.00

Overview

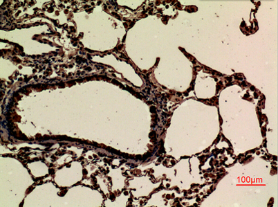
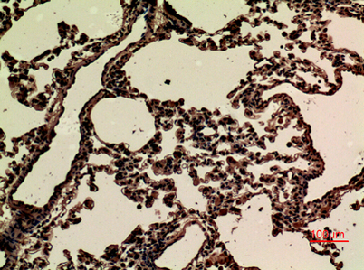
Product name: JAM-B rabbit pAb
Reactivity: Human;Mouse;Rat
Alternative Names: JAM2; C21orf43; VEJAM; Junctional adhesion molecule B; JAM-B; Junctional adhesion molecule 2; JAM-2; Vascular endothelial junction-associated molecule; VE-JAM; CD322
Source: Rabbit
Dilutions: Western Blot: 1/500 - 1/2000. IHC-p: 1:100-300 ELISA: 1/20000. Not yet tested in other applications.
Immunogen: Synthesized peptide derived from the Internal region of human JAM-B.
Storage: -20°C/1 year
Clonality: Polyclonal
Isotype: IgG
Concentration: 1 mg/ml
Observed Band: 33kD
GeneID: 58494
Human Swiss-Prot No: P57087
Cellular localization: Cell membrane ; Single-pass type I membrane protein . Cell junction . Cell junction, tight junction . Localized at tight junctions of both epithelial and endothelial cells (By similarity). Specifically localized within the somatodendritic compartment of neurons and excluded from the axon (By similarity). .
Background: This gene belongs to the immunoglobulin superfamily, and the junctional adhesion molecule (JAM) family. The protein encoded by this gene is a type I membrane protein that is localized at the tight junctions of both epithelial and endothelial cells. It acts as an adhesive ligand for interacting with a variety of immune cell types, and may play a role in lymphocyte homing to secondary lymphoid organs. Alternatively spliced transcript variants have been found for this gene. [provided by RefSeq, Jul 2012],
关闭

在线咨询

Online consultation

  • 在线咨询
  • 技术支持

关注微信公众号

微信扫一扫立即咨询

微信扫一扫立即咨询

关闭