产品中心

Fractalkine Receptor rabbit pAb
一键复制产品信息
ES3842
规格: 价格:
50µL ¥1280.00
100µL ¥1980.00

Overview

Product name: Fractalkine Receptor rabbit pAb
Reactivity: Human;Mouse;Rat
Alternative Names: CX3CR1; CMKBRL1; GPR13; CX3C chemokine receptor 1; C-X3-C CKR-1; CX3CR1; Beta chemokine receptor-like 1; CMK-BRL-1; CMK-BRL1; Fractalkine receptor; G-protein coupled receptor 13; V28
Source: Rabbit
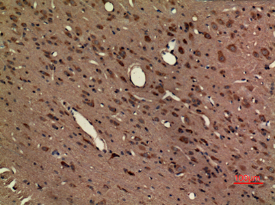
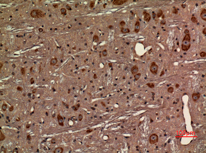
Dilutions: Western Blot: 1/500 - 1/2000. IHC-p: 1:100-300 ELISA: 1/20000. Not yet tested in other applications.
Immunogen: Synthesized peptide derived from Fractalkine Receptor . at AA range: 120-200
Storage: -20°C/1 year
Clonality: Polyclonal
Isotype: IgG
Concentration: 1 mg/ml
Observed Band: 40kD
GeneID: 1524
Human Swiss-Prot No: P49238
Cellular localization: Cell membrane ; Multi-pass membrane protein .
Background: Fractalkine is a transmembrane protein and chemokine involved in the adhesion and migration of leukocytes. The protein encoded by this gene is a receptor for fractalkine. The encoded protein also is a coreceptor for HIV-1, and some variations in this gene lead to increased susceptibility to HIV-1 infection and rapid progression to AIDS. Four transcript variants encoding two different isoforms have been found for this gene. [provided by RefSeq, Jan 2010],
关闭

在线咨询

Online consultation

  • 在线咨询
  • 技术支持

关注微信公众号

微信扫一扫立即咨询

微信扫一扫立即咨询

关闭