产品中心

RhCG rabbit pAb
一键复制产品信息
ES3818
规格: 价格:
50µL ¥1280.00
100µL ¥1980.00

Overview

Product name: RhCG rabbit pAb
Reactivity: Human;Rat;Mouse;
Alternative Names: RHCG; C15orf6; CDRC2; PDRC2; RHGK; Ammonium transporter Rh type C; Rh glycoprotein kidney; Rhesus blood group family type C glycoprotein; Rh family type C glycoprotein; Rh type C glycoprotein; Tumor-related protein DRC2
Source: Rabbit
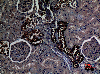
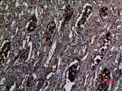
Dilutions: Western Blot: 1/500 - 1/2000. IHC-p: 1:100-300 ELISA: 1/40000. Not yet tested in other applications.
Immunogen: Synthesized peptide derived from the Internal region of human RhCG.
Storage: -20°C/1 year
Clonality: Polyclonal
Isotype: IgG
Concentration: 1 mg/ml
Observed Band: 53kD
GeneID: 51458
Human Swiss-Prot No: Q9UBD6
Cellular localization: Apical cell membrane ; Multi-pass membrane protein . Also detected at the basolateral membrane and in subapical vesicles. .
Background: developmental stage:Specifically expressed in fetal kidney.,function:Functions as an electroneutral and bidirectional ammonium transporter. May regulate transepithelial ammonia secretion.,PTM:N-glycosylated.,similarity:Belongs to the ammonium transporter (TC 2.A.49) family. Rh subfamily.,subcellular location:Also detected at the basolateral membrane and in subapical vesicles.,tissue specificity:Expressed in brain, testis, placenta, pancreas, esophagus and prostate. Expressed in squamous epithelial tissues (at protein level). Specifically expressed in kidney according to PubMed:11062476.,
关闭

在线咨询

Online consultation

  • 在线咨询
  • 技术支持

关注微信公众号

微信扫一扫立即咨询

微信扫一扫立即咨询

关闭