产品中心

APLP-1 rabbit pAb
一键复制产品信息
ES3788
规格: 价格:
50µL ¥1280.00
100µL ¥1980.00

Overview

Product name: APLP-1 rabbit pAb
Reactivity: Human;Mouse
Alternative Names: APLP1; Amyloid-like protein 1; APLP; APLP-1
Source: Rabbit
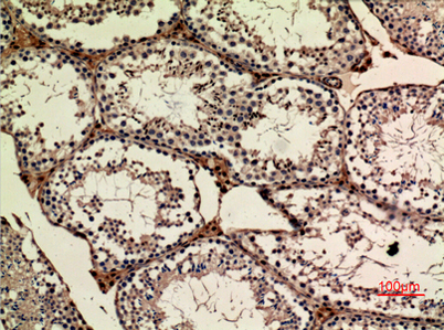
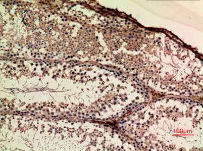
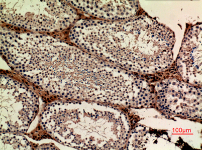
Dilutions: Western Blot: 1/500 - 1/2000. IHC-p: 1:100-300 ELISA: 1/10000. Not yet tested in other applications.
Immunogen: Synthesized peptide derived from APLP-1 . at AA range: 360-440
Storage: -20°C/1 year
Clonality: Polyclonal
Isotype: IgG
Concentration: 1 mg/ml
Observed Band: 72kD
GeneID: 333
Human Swiss-Prot No: P51693
Cellular localization: Cell membrane; Single-pass type I membrane protein.; [C30]: Cytoplasm. C-terminally processed in the Golgi complex.
Background: This gene encodes a member of the highly conserved amyloid precursor protein gene family. The encoded protein is a membrane-associated glycoprotein that is cleaved by secretases in a manner similar to amyloid beta A4 precursor protein cleavage. This cleavage liberates an intracellular cytoplasmic fragment that may act as a transcriptional activator. The encoded protein may also play a role in synaptic maturation during cortical development. Alternatively spliced transcript variants encoding different isoforms have been described. [provided by RefSeq, Jul 2008],
关闭

在线咨询

Online consultation

  • 在线咨询
  • 技术支持

关注微信公众号

微信扫一扫立即咨询

微信扫一扫立即咨询

关闭