产品中心

XIAP rabbit pAb
一键复制产品信息
ES3709
规格: 价格:
50µL ¥1280.00
100µL ¥1980.00

Overview

Product name: XIAP rabbit pAb
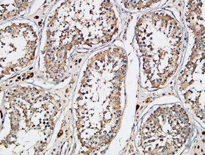
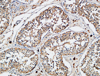
Reactivity: Human;Mouse;Rat
Alternative Names: XIAP; API3; BIRC4; IAP3; E3 ubiquitin-protein ligase XIAP; Baculoviral IAP repeat-containing protein 4; IAP-like protein; ILP; hILP; Inhibitor of apoptosis protein 3; IAP-3; hIAP-3; hIAP3; X-linked inhibitor of apoptosis protein; X-linked I
Source: Rabbit
Dilutions: Western Blot: 1/500 - 1/2000. Immunohistochemistry: 1/100 - 1/300. ELISA: 1/20000. Not yet tested in other applications.
Immunogen: The antiserum was produced against synthesized peptide derived from human XIAP. AA range:53-102
Storage: -20°C/1 year
Clonality: Polyclonal
Isotype: IgG
Concentration: 1 mg/ml
Observed Band: 57kD
GeneID: 331
Human Swiss-Prot No: P98170
Cellular localization: Cytoplasm. Nucleus. TLE3 promotes its nuclear localization.
Background: This gene encodes a protein that belongs to a family of apoptotic suppressor proteins. Members of this family share a conserved motif termed, baculovirus IAP repeat, which is necessary for their anti-apoptotic function. This protein functions through binding to tumor necrosis factor receptor-associated factors TRAF1 and TRAF2 and inhibits apoptosis induced by menadione, a potent inducer of free radicals, and interleukin 1-beta converting enzyme. This protein also inhibits at least two members of the caspase family of cell-death proteases, caspase-3 and caspase-7. Mutations in this gene are the cause of X-linked lymphoproliferative syndrome. Alternate splicing results in multiple transcript variants. Pseudogenes of this gene are found on chromosomes 2 and 11.[provided by RefSeq, Feb 2011],
关闭

在线咨询

Online consultation

  • 在线咨询
  • 技术支持

关注微信公众号

微信扫一扫立即咨询

微信扫一扫立即咨询

关闭