产品中心

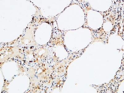
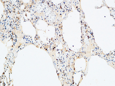
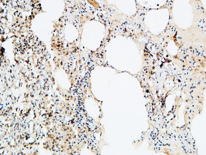
VEGF-D rabbit pAb
一键复制产品信息
ES3694
规格: 价格:
50µL ¥1280.00
100µL ¥1980.00

Overview

Product name: VEGF-D rabbit pAb
Reactivity: Human;Mouse;Rat;Monkey
Alternative Names: FIGF; VEGFD; Vascular endothelial growth factor D; VEGF-D; c-Fos-induced growth factor; FIGF
Source: Rabbit
Dilutions: Western Blot: 1/500 - 1/2000. Immunohistochemistry: 1/100 - 1/300. ELISA: 1/40000. Not yet tested in other applications.
Immunogen: The antiserum was produced against synthesized peptide derived from human VEGF-D. AA range:153-202
Storage: -20°C/1 year
Clonality: Polyclonal
Isotype: IgG
Concentration: 1 mg/ml
Observed Band: 35kD
GeneID: 2277
Human Swiss-Prot No: O43915
Cellular localization: Secreted.
Background: The protein encoded by this gene is a member of the platelet-derived growth factor/vascular endothelial growth factor (PDGF/VEGF) family and is active in angiogenesis, lymphangiogenesis, and endothelial cell growth. This secreted protein undergoes a complex proteolytic maturation, generating multiple processed forms which bind and activate VEGFR-2 and VEGFR-3 receptors. This protein is structurally and functionally similar to vascular endothelial growth factor C. Read-through transcription has been observed between this locus and the upstream PIR (GeneID 8544) locus. [provided by RefSeq, Feb 2011],
关闭

在线咨询

Online consultation

  • 在线咨询
  • 技术支持

关注微信公众号

微信扫一扫立即咨询

微信扫一扫立即咨询

关闭