产品中心

V-ATPase B1 rabbit pAb
一键复制产品信息
ES3688
规格: 价格:
50µL ¥1280.00
100µL ¥1980.00

Overview

Product name: V-ATPase B1 rabbit pAb
Reactivity: Human;Mouse
Alternative Names: ATP6V1B1; ATP6B1; VATB; VPP3; V-type proton ATPase subunit B; kidney isoform; V-ATPase subunit B 1; Endomembrane proton pump 58 kDa subunit; Vacuolar proton pump subunit B 1
Source: Rabbit
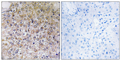
Dilutions: Western Blot: 1/500 - 1/2000. Immunohistochemistry: 1/100 - 1/300. ELISA: 1/5000. Not yet tested in other applications.
Immunogen: The antiserum was produced against synthesized peptide derived from human ATP6V1B1. AA range:381-430
Storage: -20°C/1 year
Clonality: Polyclonal
Isotype: IgG
Concentration: 1 mg/ml
Observed Band: 60kD
GeneID: 525
Human Swiss-Prot No: P15313
Cellular localization: Apical cell membrane . Basolateral cell membrane .
Background: This gene encodes a component of vacuolar ATPase (V-ATPase), a multisubunit enzyme that mediates acidification of eukaryotic intracellular organelles. V-ATPase dependent organelle acidification is necessary for such intracellular processes as protein sorting, zymogen activation, receptor-mediated endocytosis, and synaptic vesicle proton gradient generation. V-ATPase is composed of a cytosolic V1 domain and a transmembrane V0 domain. The V1 domain consists of three A and three B subunits, two G subunits plus the C, D, E, F, and H subunits. The V1 domain contains the ATP catalytic site. The V0 domain consists of five different subunits: a, c, c', c'', and d. Additional isoforms of many of the V1 and V0 subunit proteins are encoded by multiple genes or alternatively spliced transcript variants. This encoded protein is one of two V1 domain B subunit isoforms and is found i
关闭

在线咨询

Online consultation

  • 在线咨询
  • 技术支持

关注微信公众号

微信扫一扫立即咨询

微信扫一扫立即咨询

关闭